Различные дефекты на зубах причиняют боль, доставляют эстетическое неудобство и провоцируют развитие стоматологических заболеваний. К сожалению, скорость современной жизни не всегда позволяет обращаться к врачу при незначительных патологиях. Чаще всего к стоматологу приходят при возникновении сильной боли. Однако существуют ситуации, когда не стоит откладывать визит в клинику. Например, при обнаружении трещины на эмали, которая выглядит, как полоска. Подробнее о том, почему не стоит откладывать визит к врачу, поговорим в статье.
Причины возникновения трещин на зубах

- Недостаток полезных микроэлементов, которые способствуют укреплению зубной эмали (кальций).
- Кариес. Разрушение начинается с образования небольшого белого пятна. Эмаль в этом месте становится мягкой и тонкой. Если не принять меры по укреплению эмали, на зубе может появиться трещина.
- Пародонтит. При данном заболевании происходит оголение корня зуба. Защитный слой возле десны и под ней теряет прочность, поэтому в этом месте возникают разрушения.
- Заболевания желудочно-кишечного тракта, при которых возникает повышенная кислотность в полости рта.
- Длительный прием лекарственных препаратов.
- Употребление пищи и напитков контрастных температур. Такая привычка приводит к истончению защитного слоя.
- Курение на морозе. Выдыхание горячего дыма и вдыхание холодного воздуха разрушает зубы.
- Чрезмерное отбеливание. Пасты с большим количеством абразивов и применение химических средств для придания белоснежной улыбки уменьшают защитные свойства эмали.
Вредные привычки: раскусывание семечек и орехов зубами, кусание ручки.
- Переломы и трещины могут образовываться в результате удара или падения.
- Злоупотребление сладкой и кислой пищей.
- Допущенные врачебные ошибки при лечении стоматологических заболеваний.
Разновидности зубных трещин и сопутствующая симптоматика
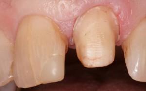
Эмалевое покрытие может треснуть на любом зубе, но чаще всего патология поражает резцы, так как они более подвержены физическому воздействию. В зависимости от глубины и расположения микротрещины, она представляет разную опасность здоровью зубов. Разновидности трещин (смотрите на фото):
- Вертикальные. Идут параллельно росту зуба, визуально разделив его на две части. При неглубоком поражении трещина доставляет только эстетический дискомфорт, болевые ощущения не возникают. Чтобы патология не разрушила зуб, необходимо следить за размерами трещины и цветом эмали возле нее. Если зубная единица треснула сильно, это может привести к отделению стенки и открыванию корня. Вертикальный раскол становится причиной воспаления пульпы, так как в незащищенные ткани легко проникают вредные микроорганизмы. Переломы зубов вдоль требуют удаления зуба. Если зуб раскололся пополам, и одна часть устойчиво стоит, а другая шатается, то удаляют только шатающуюся часть, которую затем искусственно восстанавливают.
- Горизонтальные. Возникают на резцах и молярах, являются наиболее опасными. При этом чем ближе к корню сломался зуб, тем больший вред может нанести перелом его здоровью (подробнее в статье: ). При обнаружении перелома зуба необходимо срочно обратиться к стоматологу, так как коронка может полностью треснуть.
- Наклонные. Образуются из-за кариеса или некачественной гигиены полости рта. Опасны образованием скола коронковой части.
- Внутренние. Диагностируются только с помощью рентгеновского снимка. Чаще всего обнаруживаются на поздних сроках, когда перелом доходит до корня зуба.
Трещины на молочных зубах ребенка – не редкое явление. Подвижный образ жизни и недостаточно крепкая эмаль провоцируют образование трещин у детей.
Если лопнул молочный зубик, необходимо проконсультироваться со стоматологом. До приема не следует кормить ребенка горячей и холодной пищей, при сильной боли дать анестезирующий препарат.
Появление трещин сопровождается следующими симптомами:
- появление боли в разных частях;
- гиперестезия (повышение чувствительности зубов), которая характеризуется появлением резких болевых ощущений при употреблении пищи контрастных температур;
- наличие дискомфорта при пережевывании пищи, боли при смыкании челюсти.
Если образовавшуюся трещину не лечить, развиваются следующие симптомы:
- изменяется цвет зубной эмали с обеих сторон от трещинки из-за некротических процессов в пульпе;
- появляется неприятный запах изо рта;
- возникает боль при нажатии на поврежденную единицу;
- воспаляются и кровоточат десны;
- образуются язвочки на мягких тканях;
- появляется подвижность зубов.
Первая помощь при возникновении проблемы
Если при детальном рассмотрении зубов обнаружилась трещина на эмали или даже перелом, а визит к стоматологу приходится отложить, можно оказать первую помощь в домашних условиях. Для этого необходимо:
- обработать полость рта антисептическим раствором, это поможет предотвратить развитие инфекции;
- принять обезболивающие препараты (если визит к врачу откладывается более чем на 6 часов);
- не касаться поврежденного зуба языком;
- не употреблять пищу контрастных температур.
Как спасти и восстановить треснувший зуб?
Методы восстановления подбираются стоматологом индивидуально. После осмотра ротовой полости и обнаружения перелома врач назначает необходимые процедуры. Чем меньше трещина, тем легче устранить патологию и спасти поврежденный зуб.
Важно обратиться за помощью как можно раньше, чтобы исключить развитие воспалительного процесса и попадание инфекции в пульпу.
Способы стоматологического лечения в условиях клиники
Основные методы восстановления:
- установка пломбы;
- реминерализация;
- виниризация;
- установка коронки.
Пломбу ставят при лечении трещин на жевательных молярах. Перед процедурой поверхность зуба очищается, пломбу наносят в несколько этапов.
Реминерализация – специальная процедура, при которой эмаль насыщается минералами. Процедура совершенно безболезнена, занимает 30-40 минут. Используется для восстановления неглубоких трещин.
Для устранения дефекта на зуб наносят специальный гель, в составе которого содержатся кальций, фтор и фосфор. Перед нанесением эмаль очищается от мягкого налета и камня, затем тщательно высушивается. Далее на поверхность зубов наносится минерализирующий гель, трещина закрывается композитными материалами, сверху все покрывается специальным лаком, который затвердевает на воздухе. Его необходимо обновлять каждые полгода. Процедура укрепляет эмаль, увеличивает ее защитные свойства, предотвращает развитие кариеса и других заболеваний полости рта. Подходит для восстановления молочных зубов.
Если зуб трескается глубоко с обеих сторон, но корень не разрушается, можно установить виниры. Они представляют собой специальные тонкие накладки, которые закрепляют на эмали и маскируют дефект. Изготавливаются из керамических, фарфоровых и композитных материалов.
Для устранения дефекта на жевательных молярах чаще всего используются композитные виниры, цвет которых значительно отличается от натурального цвета зубов. Керамическими материалами восстанавливают переломы передних зубов, подбирая оттенок, максимально совпадающий с эмалью. Для установки виниров требуется частичное спиливание коронки, при этом пластинка надолго закрепляется на зубе, не изменяет свой цвет.
Когда эмаль потрескалась на бугорке, а корень не задет, устанавливают коронку. Если повреждена пульпа, удаляют нервные окончания, ставят пломбу и устанавливают коронку.
Профессиональные средства в домашних условиях
Чтобы дольше сохранить эффект реминерализации, проведенной в клинике, можно использовать специальные средства для чистки полости рта в домашних условиях. Стоматологи рекомендуют применять пасты, содержащие фтор (President Classic, Silca Herbal Complete и Natural Extrakte, El-ce med Total Care, Splat «Арктикум») и кальций (President Unique, Splat «Биокальций», R.O.C.S.). Их необходимо чередовать. Для укрепления результата можно применять ополаскиватели с фторидом натрия.
Использовать укрепляющие пасты необходимо после консультации со стоматологом. Процедуры нужно делать при незначительных трещинах.
Особенности питания и ухода
Правильное сбалансированное питание и качественный уход за полостью рта способны снизить риск появления трещин, как у ребенка, так и у взрослого. Необходимо включить в рацион следующие продукты:
- творог, молоко, сыр, йогурт, кефир;
- укроп, петрушка;
- фрукты, овощи, ягоды;
- соки.
Ограничить употребление:
- продуктов и напитков контрастных температур;
- соленого, кислого; сладкого;
- газированных напитков;
- крепкого чая, кофе;
- алкоголя.
При чистке полости рта следует придерживаться следующих рекомендаций:
- чистить зубы утром и вечером не менее 5 минут;
- очищать пространство между зубами после каждого приема пищи, используя специальные нити;
- правильно подобрать пасту (содержащую фтор и кальций) и щетку (средней или мягкой жесткости), учитывая особенности и здоровье полости рта;
- использовать ополаскиватель.
Помогут ли народные средства?
Восстановить трещины на зубной эмали народными средствами невозможно, так как верхний слой не обладает способностью к восстановлению. Для ее укрепления необходимы средства, содержащие кальций и фосфор. С помощью рецептов народной медицины можно только предотвратить причины образование трещин, укрепляя эмаль специальными отварами лекарственных трав (ромашки, шалфея, мяты) или прополисом.
В каких случаях нельзя спасти треснувший зуб?
Показания к удалению треснувшей единицы:
- Трещина корня. Патологию можно обнаружить только при тщательном осмотре полости рта, так как даже на рентгеновском снимке трещина может не отобразиться, если нет сопутствующих повреждений. В образовавшуюся трещину попадают микробы, которые разрушают косную ткань. Патология распространяется на жевательные поверхности зуба. При позднем лечении спасти такой зуб не удается, поэтому его удаляют.
- Трещина зуба мудрости. Восьмерки наиболее подвержены воздействию бактерий из-за их долгого прорезывания и неудобства чистки. На зубах мудрости часто образуются трещины, вызывая болезненные ощущения. Эти моляры не участвуют в пережевывании пищи и не исполняют эстетическую функцию, поэтому в таких случаях зубы мудрости удаляют.
- Трещина по всей длине зуба. Если зубная единица раскололась пополам, и одна ее половина шатается, то корень оголяется, а в открытую рану попадают бактерии, вызывая воспаление (рекомендуем прочитать: ).
Поделитесь с друьями!
Вредные привычки: раскусывание семечек и орехов зубами, кусание ручки.