Гнойник на десне требует незамедлительного обращения к врачу. Если вовремя не удалить гной из десневых тканей, могут развиться опасные осложнения, вплоть до летального исхода.
Для предотвращения нежелательных последствий нужно избегать возникновения факторов, провоцирующих появление нагноений десны. Кроме того, каждый должен уметь распознавать признаки этих явлений, чтобы вовремя предупредить развитие необратимых процессов.
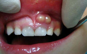
Что такое гнойник?

В начале воспалительного процесса пациенты часто жалуются, что десна сильно воспалилась, опухла, покраснела и болит при надкусывании или пережевывании пищи (см. также: ). С течением времени на ней образуется шарик, из которого при надавливании выделяется гнойный экссудат.
Гнойник на десне также может иметь такие названия, как пародонтальный, периодонтальный или дентальный абсцесс.
Причины возникновения абсцесса на десне
Гной в десне – это не причина, а следствие активности воспалительных процессов в десневых тканях. Если они загноились в результате механического травмирования десен или вследствие экстракции зуба мудрости, значит в полости рта началось размножение болезнетворных микроорганизмов. Наряду с этим, пародонтальный абсцесс могут вызывать следующие причины:
- неудовлетворительная гигиена полости рта – в результате пренебрежения чисткой зубов может развиться гингивит, который является начальной стадией воспаления десен (рекомендуем прочитать: );
- неудобные ортодонтические конструкции, используемые при имплантации;
- попадание гноеродных бактерий в десневой карман;
- скопления зубного камня и налета под линией десен;
- заболевания пульпы;
- непроизвольное скрежетание зубами во время сна (бруксизм);
- снижение защитных сил организма, вызванное серьезными патологиями (например, сахарным диабетом);
перфорация стенок зуба во время обработки корневых каналов;
- переохлаждение организма;
- хронические инфекционные заболевания;
- стоматологические болезни (гингивит, периодонтит, пародонтит);
- табакокурение.
Травмировать десны можно слишком жесткой щетиной зубной щетки или во время неосторожного использования зубочистки. Если имел место ушиб десневых тканей, после этого за их состоянием нужно следить особенно внимательно. Это позволит своевременно обнаружить абсцесс десны и незамедлительно принять меры по его устранению.
Симптоматика
Большинство пациентов долгое время даже не подозревают об образовании гнойного мешочка.
Первый симптом гниения – это выделение крови из десны, однако нередко еще до возникновения кровотечения десневые ткани могут опухать и болеть при нажатии.Через непродолжительное время появляется небольшой гнойничок, на который мало кто обращает внимание. В ряде случаев гнойный мешок на десне может рассосаться самостоятельно, однако при значительном снижении защитных сил организма он способен перерасти в опасное образование — флюс.
О том, что загноилась десна можно узнать по следующим признакам:
- повышению температуры тела;
- ломоте в костях и мышцах;
- пульсирующему характеру боли;
- увеличению лимфоузлов возле пораженной области лица;
- зловонному запаху изо рта.
Некоторые пациенты пытаются выдавить содержимое мешка, внутри которого находится гной. Врачи категорически не рекомендуют делать это, поскольку при самостоятельном вскрытии гнойника гноеродные микробы могут заразить большие участки кожных покровов и слизистой оболочки полости рта. На начальной стадии патологии воспаление локализуется вокруг одного зуба, однако со временем периодонтальный абсцесс может охватить десны полностью. Лишь своевременное обращение к врачу поможет избежать нежелательных последствий.
В некоторых случаях пародонтальные абсцессы не сопряжены с возникновением болезненных ощущений. Одним из таких видов образований может быть киста, которая нередко появляется во время простуды и внешне напоминает небольшой жировик белого цвета, не вызывающий боли при нажатии.
Простуда на десне – довольно частое явление, особенно у пациентов со слабым иммунитетом (см. также: ). При этом сразу появляются сильные болезненные ощущения и сыпь. На начальном этапе болевой синдром имеет вспышкообразный характер, при дальнейшем развитии патологии боль становится постоянной.
Лечение гнойного воспаления
Лечение абсцесса десны начинается с выявления фактора, который спровоцировал появление гнойника. Диагностика включает сбор анамнеза, клинический осмотр, дентальную рентгенографию, а также дополнительные лабораторные и инструментальные методики исследования.
Терапевтические мероприятия назначаются в зависимости от причины гнойного воспаления десны. Если гной в деснах является симптомом периодонтита, устранение патологии заключается в использовании консервативного и хирургического способов лечения.
В этом случае после проведения рентгенографии при необходимости удаляются коронки и пломбы, а также распломбируются корневые каналы. При кариозных поражениях с поверхности зубов снимается зубной камень, производится депульпирование и расширение каналов, в результате чего гнойный экссудат вытекает из десны. После того как внутри нее не останется гноя, каналы обрабатываются антисептическими средствами. Антибиотикотерпия является обязательным этапом данного вида лечения.
В ряде случаев может понадобиться хирургическое вмешательство. После вскрытия пародонтального абсцесса осуществляется полное удаление гнойного вещества. Затем хирург проводит резекцию верхушки зуба, при этом он вычищает гранулему или кисту у верхней части зубного корня.
Если развитие дентального абсцесса было спровоцировано пародонтитом, врач производит вскрытие десневых тканей и очищение их от скоплений гноя, затем снимает зубные отложения, промывает каналы пародонта антисептиком и обрабатывает пораженные участки противовоспалительным средством. В случае необходимости осуществляется удаление нерва, после чего пациенту назначается антибиотикотерапия.
В случаях, когда десневая ткань гниет в результате неправильной установки пломбы или неудобного расположения ортодонтической конструкции, используемой при протезировании, протезы снимаются, а зуб пломбируется заново. После избавления от зубного гноя полость пораженной единицы обрабатывается антисептическим препаратом. Для ускорения восстановительного периода нередко назначается курсовое применение лазерного и инфракрасного излучения.
Такой вид периодонтального абсцесса, как простуда, нужно лечить комплексно. Поскольку эта патология вызывается особым вирусом, живущим в организме человека, и не поддается полному излечению, купировать ее вспышку нужно с помощью противовирусных и подавляющих возбудитель препаратов. Лечение при этом обходится без вскрытия десны.
Можно ли вытянуть гной в домашних условиях?
Если в полости рта идет воспалительный процесс с образованием гноя, специалисты не рекомендуют заниматься самолечением. Однако в крайних случаях при невозможности незамедлительно посетить врача, можно попытаться снизить болевой синдром и уменьшить масштабы абсцесса десны.
Вытянуть гной и обезболить воспаленный участок можно при помощи следующих средств:
- Содового раствора. 1 ст. л. соды растворить в 250 мл теплой воды. Полученной жидкостью нужно полоскать рот как можно чаще.
- Зеленого или черного чая. Крепко заваренным напитком следует ополаскивать ротовую полость несколько раз в день.
- Отвара ромашки. 2 ст. л. сухих цветков растения залить 1 стаканом крутого кипятка. После получасового настаивания жидкость процеживается и применяется в качестве ополаскивателя 3-4 раза в день.
- Аппликации алоэ. Из тщательно промытого мясистого листа растения отжимается сок. Смоченный в нем кусочек стерильной ваты прикладывается к нарывающему месту на 15-20 минут.
Наряду с этими средствами, при абсцессе десневых тканей для полосканий можно использовать растворы с антисептическими свойствами: Хлоргексидин, Фурацилин, марганцовку. При этом нужно понимать, что вывести гной с помощью указанных средств можно лишь в тех случаях, когда нарыв на деснах провоцируют внешние факторы, например травмирование при чистке зубов. Если же десневые ткани гноятся по причине заболеваний зубов, перечисленные способы помогут лишь временно купировать боль и приостановить воспаление.
Что делать, если гноится десна у ребенка?
Гнойные процессы в полости рта могут развиваться не только у взрослых пациентов, но и у детей. Для ребенка, чья иммунная система еще не совершенна, это явление может быть особенно опасным, поскольку гноеродные микробы способны стремительно распространиться по всему детскому организму, поразив многие внутренние органы. Во избежание опасных осложнений малыша, в полости рта которого был обнаружен гнойник, нужно как можно скорее показать врачу.
Если гной выходит рядом с молочным зубиком, нужно срочно удалить его (см. также: ). В противном случае гнойный процесс может распространиться на зачатки еще не прорезавшихся постоянных единиц. Лечение абсцесса, развивающегося около коренных зубов, у детей проводят так же, как и у взрослых. Для того чтобы избавиться от гноя вскрывают нарыв. После его вычищения в обязательном порядке назначается антибиотикотерапия.
Осложнения
Если игнорировать признаки нарывания в полости рта, могут развиться тяжелые осложнения. К опасным последствиям дентального абсцесса относятся:
- пародонтоз — в запущенных формах приводит к полной потере зубов;
- флюс – устраняется с помощью хирургического вмешательства (см. также: );
- заражение крови – в тяжелых случаях заканчивается летальным исходом;
- образование наростов на деснах – нередко вызывают развитие остеомиелита, который опасен воспалением костной ткани;
- снижение защитных сил организма.
После удаления гнойника могут возникнуть осложнения в виде кровотечения и рецидива абсцесса. Чаще всего такие последствия возникают у пациентов, имеющих вредные привычки и хронические заболевания внутренних органов, а также тех, кто регулярно употребляет транквилизаторы, слабительные и снотворные препараты.
Меры профилактики
Для того чтобы в полости рта не появилось воспаление или нагноение, нужно соблюдать ряд несложных правил. К профилактическим мерам предупреждения развития этих явлений относятся:
- регулярная гигиена полости рта;
- избегание применения зубочисток и других острых предметов для удаления из межзубных промежутков остатков еды;
- отказ от табакокурения;
- исключение вероятности переохлаждения организма;
- постоянное укрепление иммунитета;
- регулярное посещение стоматолога и своевременное устранение стоматологических проблем;
- осуществление периодической профессиональной чистки зубов.
Соблюдение этих простых условий позволит содержать полость рта в идеальном состоянии. Если по каким-либо причинам разовьется абсцесс, своевременное обращение к врачу поможет быстро и максимально безболезненно решить эту проблему без последствий для здоровья.
Поделитесь с друьями!
перфорация стенок зуба во время обработки корневых каналов;