Под болью в спине часто скрывается тяжелый воспалительно-деструктивный процесс, постепенно переходящий в грыжу позвоночника. Выпячивание межпозвонкового диска – заболевание, проявляющееся разрывом фиброзного кольца и выходом ядра диска в позвоночное пространство. В шейном отделе причиной боли может быть грыжа межпозвонкового диска С5 С6. Это редкая локализация, и встречается преимущественно у людей после 40 лет, но есть случаи, когда юношеский остеохондроз шейного отдела приводит к выпячиванию позвоночного диска.
Заболевание диска С5 С6 связано с перегрузкой позвоночника или отсутствием адекватной физической нагрузки. Шейный отдел подвергается грыже наиболее часто после поясничного сегмента, так как это самая узкая часть. В этом отделе происходит много жизненно важных процессов, отвечающих, в том числе, и за питание головного мозга.
Нарушение его структуры или функции диска заканчивается необратимыми процессами в спинном и головном мозге, потому лечение проводится особенно аккуратно и с момента появления первой симптоматики.
Что провоцирует?
Выпячивание диска С5 С6 связывают со следующими негативными факторами:
- Гиподинамия, сидячая работа, отсутствие нагрузки на позвоночник, что приводит к атрофии мышечной ткани, питающий межпозвонковые диски;
- Хронические воспалительно-деструктивные заболевания позвоночника, нарушающие кровообращение и питание диска. Фиброзное кольцо постепенно теряет упругость и не способно выполнять свою функцию амортизации и подвижности;
- Острые или хронические травмы, микротравмирование позвоночника.
Поражение дисков происходит у людей после 40 лет и раньше, то есть в момент наибольшей активности человека. Мышцы на это время уже постепенно стареют и зачастую не отвечают потребности людей в серьезной нагрузке. Другим частым фактором выступает травма позвоночника и поражение диска С5 С6.
Человек не сразу ощущает последствия незначительного удара, падения, прыжка с высоты, но с момента нанесения травмы начинаются деформационные процессы диска, что заканчивается грыжей.
Сначала проявляются незначительные симптомы дискомфорта, быстрая утомляемость спины, боли, чему сначала не придается значения. Постепенно пораженный диск становится все более уязвимым и страдает от любого внешнего или внутреннего воздействия.
С момента травмы или острого воспаления может пройти несколько месяцев или даже лет, прежде чем человек обращается к специалисту с жалобами на сильные боли, невозможность работать и сидеть. Опасность грыжи диска С5 С6 кроется в медленном, но разрушительном развитии.
Тяжелое осложнение может произойти в любой момент в ответ на травматический или нагрузочный фактор.
Еще одной частой причиной выделяют остеохондроз шейного отдела на уровне С4 С5 и С5 С6. Остеохондроз приводит к хрупкости фиброзного кольца, далее происходит протрузия, которая заканчивается грыжей. Выпячивание на уровне С5 С6 ущемляет нервные корешки, вплоть до развития стеноза канала спинного мозга.
Врачи отмечают, что лечение грыжи диска C5 C6 требует комплексного подхода. В начальных стадиях заболевания консервативные методы, такие как физиотерапия и медикаментозная терапия, могут быть весьма эффективными. Специалисты рекомендуют использовать нестероидные противовоспалительные препараты для снятия боли и воспаления, а также проводить специальные упражнения для укрепления мышечного корсета шеи.
Однако в случаях, когда консервативное лечение не приносит облегчения, может потребоваться хирургическое вмешательство. Врачи подчеркивают, что выбор метода операции зависит от степени компрессии нервных корешков и общего состояния пациента. Важно, чтобы лечение проводилось под контролем опытного невролога или нейрохирурга, что позволит минимизировать риски и ускорить восстановление. Регулярные обследования и индивидуальный подход к каждому пациенту играют ключевую роль в успешной терапии.
https://youtube.com/watch?v=RFXV20Sc3Qk
Симптомы и диагностические признаки
Первым сигналом о поражении сегмента С5 С6 будет боль. Дискомфорт и болезненные ощущения распространяются на руки и другие отделы позвоночника, появляются мозговые и неврологические нарушения. Симптоматика заболевания появляется чаще внезапно, и нарастает по мере выхода пульпы и сдавливания спинномозговых корешков. Проявления заболевания не только нарастают, но и накладываются друг на друга, что формирует синдромы: корешковый, неврологический, болевой.
Особенности течения грыжи позвоночника на уровне С5 С6:
- Боль в шейном отделе, руках, головные боли;
- Онемение шеи, кисти, рук;
- Снижение тонуса и рефлекса мышцы плеча (бицепса);
- Ограничение подвижности шейного отдела позвоночника;
- Ослабленное разгибание кисты и слабость в отведении руки.
Важно! Близкое расположение к сосудам, питающим головной мозг – основная особенность грыжи шейного отдела. Несвоевременное лечение приводит к нарушению кровообращения головного мозга, ишемии, инсульту в молодом возрасте.
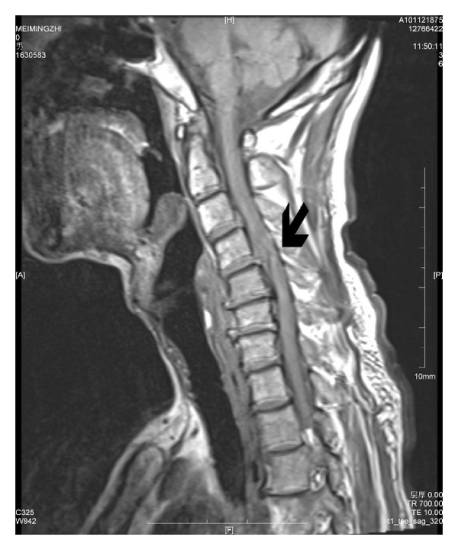
Исследование позвоночника
Подтвердить диагноз позволяют МРТ позвоночника, КТ, рентгенологическое исследование. Дополнительно могут исследоваться сосуды шеи путем ультразвукового исследования.
Во время диагностики врач выявляет причину заболевания, ищет сопутствующие отклонения строения и функции позвоночника, определяет точную локализацию и стадию патологического процесса.
Лечение грыжи диска C5 C6 вызывает множество обсуждений среди пациентов и специалистов. Многие отмечают, что консервативные методы, такие как физиотерапия и мануальная терапия, помогают облегчить симптомы и улучшить качество жизни. Некоторые пациенты делятся положительным опытом использования медикаментов для снятия боли и воспаления. Однако не все так однозначно: есть и те, кто сталкивается с недостаточной эффективностью этих методов и рассматривает хирургическое вмешательство как единственный выход.
Мнения о хирургии разделяются: одни считают, что операция может значительно улучшить состояние и вернуть к активной жизни, другие же опасаются возможных осложнений и долгого восстановления. Важно, что каждый случай индивидуален, и подход к лечению должен быть основан на тщательной диагностике и консультации с опытным врачом. В конечном итоге, многие пациенты подчеркивают важность комплексного подхода и активного участия в процессе лечения.
https://youtube.com/watch?v=mPTCIGStxVI
Как лечить?
Комплексное лечение грыжи в шейном отделе на уровне С5 С6 включает:
- вытяжение позвоночника;
- использование шейного корсета;
- лечебную гимнастику;
- прием медикаментозных препаратов;
- мануальную терапию и массаж.
Хирургическое лечение проводится следующими методами:
- задняя дискэктомия;
- передняя дискэктомия.
Передняя дискэктомия может проводиться со спондилодезом или без сращивания смежных позвонков.
Спондилодез – это хирургическое лечение со сращиванием позвонков для их обездвиживания.
В острый период заболевания проведения массажа и мануальная терапия абсолютно противопоказаны, как и горячие ванны, бани и физкультура. В этот период нужно соблюдать постельный режим и принимать назначенные препараты. Обострение грыжи сопровождается сильнейшими болями, которые зачастую не снимаются медикаментозно, потому проводится новокаиновая блокада позвоночника. Когда с болью не помогает справиться ни один консервативный медом, проводится лазерная вапоризация диска.
Больной в острый период принимает нестероидные противовоспалительные препараты, мочегонные средства, проходит курс рефлексотерапии. С улучшением состояния включается массаж и мануальное лечение.
В период ремиссии человек может вернуться к привычной жизни, но при этом важно продолжать профилактическое лечение.
Консервативные методы
Лечение в амбулаторных условиях включает следующие мероприятия:
- Физиотерапия: электрофорез с анальгетиком и противовоспалительным средством, электростимуляция, магнитопунктура, фармакопунктура, вытяжение позвоночника, лазеротерапия, вакуумный массаж, иглорефлексотерапия;
- Медикаменты: хондропротекторы (Хондроксид в виде таблеток и мази), анальгетики (Диклофенак, Парацетамол, Димексид), успокоительные препараты натурального происхождения;
- Диета: восполнение недостающих микроэлементов и витаминов через правильное питание;
- ЛФК: в период ремиссии показаны легкие физические упражнение на расслабление позвоночника и укрепление мышц спины.
Постепенно в процессе комплексного лечения будут уходить боли, мышечные спазмы и напряжение, увеличится объем движения позвоночника, пройдет парестезия.
https://youtube.com/watch?v=yE64-3y2BFc
Вопрос-ответ
Можно ли вылечить грыжу с5 с6?
Врачи всегда отдают предпочтение безоперационному лечению. Но иногда другого выхода нет. Операция при грыже диска на уровне С5–С6 показана, если нет эффекта от консервативного лечения при сохранении острых болей.
Как мне вылечить грыжу межпозвоночного диска C5 C6?
В большинстве случаев боли, связанные с грыжей межпозвоночного диска в шейном отделе позвоночника, можно успешно лечить с помощью нехирургических методов лечения, таких как безрецептурные обезболивающие препараты, физиотерапия для укрепления и растяжения шеи, ледяные или теплые компрессы и/или изменение активности для избегания болезненных движений до тех пор, пока боль не утихнет.
Какое лечение назначают при грыже шейного отдела?
Консервативное (нехирургическое) лечение грыжи шейного диска. Большинству пациентов не требуется операция. Медикаментозная терапия включает прием противовоспалительных препаратов для уменьшения воспаления и отека, миорелаксантов для уменьшения мышечного спазма, сильных анальгетиков для снижения интенсивной боли.
Можно ли избавиться от грыжи в шейном отделе без операции?
Лечение грыжи шеи может осуществляться без операции, то исключительно при участии опытного специалиста. Кроме того, необходимо учитывать важность комплексной диагностики, которая охватывает проведение рентгенографии, КТ и МРТ.
Советы
СОВЕТ №1
Перед началом любого лечения грыжи диска C5 C6 обязательно проконсультируйтесь с квалифицированным неврологом или ортопедом. Они помогут определить степень проблемы и предложат наиболее подходящий план лечения, учитывая ваши индивидуальные особенности.
СОВЕТ №2
Регулярные физические упражнения и растяжка могут значительно облегчить симптомы. Обратитесь к физиотерапевту для разработки безопасной программы упражнений, которая поможет укрепить мышцы шеи и улучшить гибкость.
СОВЕТ №3
Обратите внимание на свою осанку и ergonomics рабочего места. Правильная поза при сидении и использовании компьютера может снизить нагрузку на шейный отдел позвоночника и уменьшить болевые ощущения.
СОВЕТ №4
Рассмотрите возможность применения методов альтернативной медицины, таких как мануальная терапия или акупунктура. Эти методы могут помочь в снижении боли и улучшении общего состояния, но обязательно обсуждайте их с вашим врачом.






