Нередко пациенты стоматологов замечают, что после экстракции зуба на десне появилось белое пятно, которое вызывает беспокойство. Опасно ли оно, нужно ли предпринимать меры по его удалению и стоит ли при появлении налета обращаться к врачу? Разберемся с этими вопросами, чтобы развеять страхи и сомнения.
Заживление лунки после удаления зуба

Восстановление проходит в несколько этапов:
- В первый день в лунке образуется сгусток крови, который необходим для нормального заживления раны. Чтобы сгусток не выпал, следует воздержаться от полоскания рта, можно делать ванночки.
- На 2-3 день на месте удаленного зуба появляется белесая пленка.
- На третьи сутки на ранке образуется тонкая эпителиальная ткань, которая свидетельствует о том, что процесс заживления уже начался.
- На 3-4 день появляются гранулемы — элементы из соединительной ткани, замещающие тонкий эпителий.
- Через неделю грануляции вытесняют сгусток крови. Его небольшая часть остается только в центре лунки, эпителий покрывает ранку снаружи. Слизистая приобретает стандартный цвет.
- Через полмесяца ранка полностью покрывается эпителием. Постепенно начинает расти костная ткань.
- Спустя 30 дней костная ткань практически полностью заполняет оставшуюся после удаления зуба дырку.
- По истечении 4 месяцев края альвеол и раны уменьшаются, костная ткань лунки становится такой же плотной, как и челюсть.
Десна полностью восстанавливается через месяц. При наличии инфекции регенерация затягивается на 10-20 дней.
Причины появления белого налета
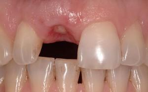
У многих пациентов вызывает беспокойство белое пятно, которое образуется на месте удаленного зуба спустя пару дней. Переживать из-за него не стоит, ведь это абсолютно нормальное явление.
Пленка белого цвета – это образующийся из плазмы белок фибрин. Он появляется вследствие некроза клеток, которые «выходят» наружу, уступая место новому эпителию. В слюне человека есть специальное вещество, стабилизирующее фибрин.
Фибринозный белый налет выполняет важную функцию: он защищает лунку от проникновения болезнетворных микроорганизмов и механических травм. Чаще всего заметная плотная пленка появляется на ране после удаления зуба мудрости (рекомендуем прочитать: ). Пациенты принимают ее за скопления остатков пищи или гноя. Попытки вымыть фибриновое наслоение приводят к прерыванию регенеративного процесса. В рану может попасть инфекция.
Сопутствующий заживлению раны неприятный запах можно считать вариантом нормы. Он появляется из-за того, что человеку, особенно после экстракции зуба мудрости, бывает трудно широко открыть рот для выполнения гигиенических процедур.

Лунка без белого налета: хорошо это или плохо?
Белый налет после удаления зуба – первый признак заживления (рекомендуем прочитать: ). Фибрин защищает рану от любого негативного воздействия извне, пока ткани не восстановятся. Пленка образуется над каждым зубом, но ее не всегда видно.
Интенсивность формирования налета зависит от индивидуальных особенностей организма пациента и степени повреждения тканей. Если у одного человека пленка может быть совсем незаметна, то у другого она будет видна невооруженным глазом. Спустя неделю после экстракции белесый налет постепенно растворяется, поскольку формируется эпителиальный защитный барьер, свидетельствующий о начале финального периода поверхностного заживления.
Когда стоит обратиться к врачу?
Иногда образование налета на десне означает, что заживление проходит с осложнениями. Отличить нормальную фиброзную пленку от проявлений патологического процесса сможет только специалист.
Если рана вас беспокоит, или вы не уверены в происхождении белесого слоя, идите к доктору. В любом случае пленку трогать нельзя.
Отклонения от нормы могут проявляться следующими симптомами:
- Отек слизистой перешел на щеку и не спадает в течение нескольких дней.
- Наблюдается ухудшение самочувствия и увеличение температуры до 39-40 градусов.
- Ощущение дискомфорта не уменьшается. Боль принимает острый пульсирующий характер. Иногда начинает болеть голова, горло, ухо.
- В лунке отсутствует сгусток крови. Вместо него в ране появляется серое вещество, похожее на гной. Присутствует гнилостный запах изо рта. В месте локализации патологии цвет слизистой меняется на красный.
- После того как зуб вырвали, кровотечение не останавливается несколько дней, несмотря на все предпринятые меры. Эта аномалия может говорить о нарушении свертываемости или повышенном кровяном давлении.
Таким образом, белая пленка может свидетельствовать о развитии патологического процесса, но человек без медицинского образования не сумеет отличить фибринозный слой от гноя. В связи с этим, при появлении тревожных признаков следует немедленно обратиться за медицинской помощью.
Белая десна на месте удаленного зуба может говорить о неполном извлечении осколков. Это осложнение возникает очень редко и происходит из-за недостаточной квалификации специалиста. Из-за высокой хрупкости зуба у врача не получается удалить моляр или резец полностью. Спустя несколько дней десна воспаляется, возникает нагноение.
Также образование белесой пленки происходит по причинам:
- Инфицирование раны. Пациент ощущает острую пульсирующую боль, в лунке появляется гной, десна отекает.
- Сухая лунка. При патологии кровяной сгусток не формируется вообще из-за паралича сосудов или выпадает. В ране образуется серо-белая или коричневатая пленка.
- Альвеолит (см. также: ). Чаще всего заболевание развивается вследствие образования сухой лунки. Пациент вовремя не обращается к врачу, в рану попадает пища, размножаются бактерии, что приводит к появлению гнойного налета.
При любом факторе, который беспокоит пациента после экстракции зуба, нужно обратиться к врачу. Серый, зеленоватый, желтый оттенок налета не являются нормой. Специалист осмотрит рану, при необходимости уберет осколки, проведет процедуру удаления гноя и назначит лечение.
Лечение возможного осложнения
Если зуб удалили, а на десне появилось белое пятно, происхождение которого вызывает сомнения, нужно обратиться за медицинской помощью. Воспаление требует немедленной терапии, иначе могут возникнуть серьезные осложнения. Медикаментозное лечение направлено на антисептическую обработку рта, иногда специалист назначает антибиотики.
Хорошее действие оказывает смесь раствора марганцовки и перекиси водорода. Компоненты, вступая в реакцию, образуют густую пену, которая вымывает инфицированные ткани, а выделяемый в ходе смешения веществ кислород способствует регенерации. Для борьбы с бактериями применяют крем или пасту Метрогил-дента или аэрозоль Гексорал.
При наличии остатков зуба, гноя, отмершей ткани врач очищает лунку и промывает ее антибактериальным раствором. При этом формируется новый сгусток крови в ране, десна заново проходит все этапы восстановления. Специалист назначает ванночки и примочки, которые можно делать дома.
При острой боли используются средства с лидокаином. Препараты на основе ибупрофена или парацетамола оказывают активное противовоспалительное действие, также они помогают купировать боль и снимают высокую температуру.
Хорошо помогают в борьбе с осложнениями и народные средства. Отличными антисептиками являются содовый раствор, настойки шалфея, календулы и аира. Масла шиповника или облепихи обеспечивают быструю регенерацию тканей. С той же целью можно использовать аппликации с прополисом и медом.
Для предотвращения инфицирования и образования гнойного налета рекомендуется регулярная обработка полости рта антибактериальными средствами и тщательная гигиена. Чтобы сохранить в лунке кровяной сгусток, желательно в первый день после экстракции единицы отказаться от чистки зубов. Для дезинфицирования ротовой полости можно сделать ванночку с физраствором (рекомендуем прочитать: ).
Поделитесь с друьями!