Удаление зуба — серьезная хирургическая процедура, особенно, если удаляется зуб мудрости. Чтобы прооперированное место зажило правильно и без осложнений, необходимо строго соблюдать рекомендации врача-стоматолога и своевременно реагировать на отклонения от нормы.
Кровяной сгусток после удаления зуба заполняет лунку сразу же после процедуры и играет важную роль в заживлении. Для чего он нужен, сколько держится, как сохранить его в лунке и что делать, если он выпал — читайте в нашей статье.
Как образуется кровяной сгусток в лунке и зачем он нужен?

- обработка полости вокруг зуба: очищение, обеззараживание;
- местная анестезия или общий наркоз;
- непосредственно удаление зуба;
- обработка раны, возможно наложение швов.
После удаления зуба из ранки неизбежно начинает идти кровь, и пациента просят прикусить тампон или салфетку из марли (см. также: ). Обильное кровотечение продолжается 20–30 минут, в редких случаях — около часа. Пока кровь не остановится, тампон нужно периодически менять, чтобы не спровоцировать развитие вредных бактерий. Полностью остановить кровотечение не получится: рана продолжит выделять небольшое количество крови и сукровицы еще около суток.
Важно! Если была введена большая доза анестезии, то из-за сужения сосудов кровотечение может начаться только через несколько часов — это нормально, но замедляет весь процесс заживления в целом.
После остановки кровотечения на месте удаленного зуба начинает образовываться тромб темно-красного или бордового цвета. На его полное формирование уходит 1–2 дня.
Кровяной сгусток категорически запрещено трогать, смещать и смывать, поскольку он защищает рану от инфекции и механических воздействий, ускоряет заживление и снижает деформацию десны (рекомендуем прочитать: ).
Отсутствие тромба в ране называется синдромом сухой лунки, который приводит к серьезному воспалительному процессу — альвеолиту. Отличить обычные последствия удаленного зуба от симптомов альвеолита можно, сравнив внешний вид лунки по фото или следующим признакам:
- Болевые ощущения и отеки в прооперированной области обычно длятся 1–2 дня, имеют ноющий характер и постепенно ослабевают. При альвеолите боль становится острой, нарастает и переходит на соседние участки, а отек может захватить большую часть полости рта, затрудняя движение.
- После удаления зуба может незначительно подняться температура (подробнее в статье: ). При альвеолите жар поднимается выше 38 градусов, а также проявляются прочие симптомы интоксикации: слабость, ломота в конечностях, головокружение.
- Первые дни лунка может неприятно пахнуть из-за скопившейся крови. При альвеолите запах становится более сильным и отдает гнилью.
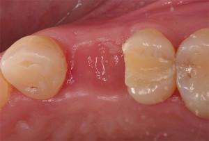
Нормальное заживление лунки: описание процесса, фото

- Первый день: на месте удаленного зуба образуется тромб. Он служит своеобразным барьером от бактерий и механических воздействий. От формирования сгустка зависит дальнейшее заживление лунки.
- Первая неделя: начинается формирование грануляционной ткани. В течение двух дней тромб покрывается белесой пленкой, что может насторожить пациента, но счищать этот налет не нужно. Если же пленка приобретает зеленый или желтый оттенок и сильно пахнет гнилью, необходимо обратиться к стоматологу.
- Первый месяц: начинается формирование эпителия и костных структур. Кровяной сгусток рассасывается, а рана затягивается новой тканью. Становятся видны костные клетки, которые полностью заполняют лунку в течение 1–2 месяцев.
- Через 4–6 месяцев костная ткань полностью формируется, уплотняется и окончательно сливается с челюстью. Процесс заживления значительно осложняется и замедляется, если на первых этапах из лунки сместился или вымылся кровяной сгусток.
Как сохранить сгусток в лунке и что делать, если он выпал?
Альвеолит в среднем возникает всего в 3–5% случаев, однако при удалении зубов мудрости вероятность осложнений достигает 30% (рекомендуем прочитать: ). Место удаленного зуба воспаляется и гноится, из-за чего пациент испытывает острую боль и симптомы интоксикации организма: слабость, головокружение, жар.
Гарантией правильного и безопасного заживления является кровяной тромб, который образуется после удаления зуба и защищает лунку от инфекции (см. также: ).
Чтобы сгусток не выпал, необходимо придерживаться следующих правил:
- Не полоскать полость рта первые 2–3 дня (см. также: ). По рекомендации врача допустимо делать антисептические ванночки, держа чуть теплую жидкость во рту и аккуратно сплевывая.
- Не трогать место удаленного зуба. Постарайтесь не касаться тромба вилкой, зубочисткой или языком. В первый день рекомендуется даже не чистить эту область зубной щеткой.
- Исключить активные физические нагрузки. Также рекомендуется ограничить свою мимику и предельно осторожно двигать мышцами рта. Если наложены швы, то они могут разойтись от резких движений.
- Исключить воздействие тепла. Не посещайте сауну и баню, не употребляйте горячие напитки и пищу.
- Воздержаться от алкоголя и курения по крайней мере на 1–2 дня.
- Соблюдать диету. Первые 2–3 часа после операции не ешьте совсем, после чего употребляйте только мягкую теплую пищу.
- Соблюдать гигиену. Используйте мягкую щетку утром, вечером и после каждого приема пищи. Возле тромба чистите особенно аккуратно.
- Не пить через трубочку. Распространено мнение, что после удаления зуба пищу и жидкости лучше употреблять через трубочку, однако всасывание может сместить тромб.
Если тромб все-таки выпал, то необходимо обратиться к стоматологу. Врач очистит лунку от остатков сгустка и пищи, обработает антисептиком и заполнит ее специальным средством — йодоформной турундой, которую нужно будет менять каждые 4–5 дней. Существует также метод вторичного сгустка: если в лунке еще не начался воспалительный процесс, то она обрабатывается (выскабливается) так, чтобы началось кровотечение и сформировался новый сгусток.
Поделитесь с друьями!