Металлокерамические коронки пользуются наибольшей популярностью среди пациентов и стоматологов. Преимуществами металлокерамики являются высокое качество, эстетический внешний вид, длительный период службы.
Процесс протезирования охватывает несколько этапов, одним из которых является препарирование зубов. Именно обтачивание своего зуба под коронку пугает многих пациентов.
Всегда ли нужна обточка зубов?

Клинические показания для препарирования зубов:
- Форма зубов человека от природы неидеальна. Изготовить протез на неровный зуб сложно, а обеспечить его плотное прилегание практически невозможно. В то же время между материалом и дентином не должно быть свободного пространства, в которое попадает воздух, пища и бактерии. Обтачивание придает зубу ровную форму, позволяя коронке прочно закрепиться.
- Предварительное выравнивание облегчает работу стоматолога и зубного техника. На препарированную культю правильной формы протез крепится легко и надежно.
- Обточка уменьшает размер зуба. Металлокерамический протез уже имеет определенную толщину. Чтобы он не выбивался из зубного ряда, зуб под коронкой должен быть меньше.
Больно ли это?

Если речь идет о зубе без пульпы, анестезия может не применяться вовсе. Обезболивание нужно тогда, когда используют специальные нити для отодвигания десны, чтобы обработать ткани как можно ближе к корню. Живые зубы обезболивают всегда. Врач должен работать осторожно, чтобы не повредить пульпу.
Во время процедуры пациент не испытывает никаких болевых ощущений. Боль, вероятно, появится позже, после окончания действия анестезии. Причина боли — в повреждении мягких тканей, если отодвигалась десна, или в неаккуратности стоматолога, который снял слишком толстый слой дентина. В этом случае нужно поставить временный протез.
Обычно неприятные ощущения проходят в течение 2 дней, в противном случае нужно показаться доктору.
Этапы препарирования под металлокерамическую коронку
Обточка под металлокерамику совсем не страшна. Можно просмотреть видео процедуры, чтобы убедиться в ее безопасности и перестать бояться. Подготовительная работа перед протезированием металлокерамикой делится на несколько этапов:
- Первичный визуальный осмотр. Стоматолог оценивает состояние зубов, проверяет их на наличие кариеса и других заболеваний.
- Рентгенологическое обследование. Снимок позволяет изучить состояние мягких и твердых тканей, а также положение зубов в челюсти.
- Лечение. При наличии кариозных повреждений или прочих проблем проводится лечение консервативным или хирургическим способом.
- Депульпирование. Данный этап вызывает много споров, но в последнее время врачи часто советуют удалять пульпу перед протезированием.
- Процедура обтачивания. Доктор определяется со способом препарирования, делает анестезию и проводит обточку.
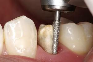
Препаровка начинается с боков, это позволяет не повредить соседние зубы. В среднем стоматолог снимает 2 мм твердых тканей. В запущенных ситуациях, когда зуб разрушен изнутри, и сохранить основу для протеза не удалось, специалисты прибегают к штифтам или специальным поддерживающим вкладкам.
Способы обточки зубов под металлокерамику
Благодаря современным технологиям, процедура стачивания эмали и дентина стала не только безболезненной, но и быстрой. Специалист подбирает способ препарирования, исходя из сложности случая, общего состояния ротовой полости, возраста пациента и особенностей его здоровья.
Существующие методы обточки:
- ультразвуковой;
- лазерный;
- туннельный;
- воздушно-абразивный;
- химический.
Ультразвук
Стоматолог использует специальное ультразвуковое оборудование. Препарирование происходит путем воздействия на твердые ткани ультразвуковых высоких частот. Данный метод безопасен и практически не имеет противопоказаний.
Обтачивание происходит быстро, мягко и безболезненно. Для проведения процедуры достаточно лишь легкого прикосновения к зубу наконечником аппарата, поэтому дентин не перегревается. Высокотехнологическая методика исключает сколы или трещины.
Лазер
Использование импульсного лазера для препарирования считается эффективным и безопасным. Посылаемые лазером импульсы воздействуют на воду, которая содержится в твердых тканях, при этом происходит сильный ее нагрев и испарение, что ведет к разрушению дентина. При помощи мощного потока воды и воздуха мелкие разрушенные частички удаляются с поверхности.
Лазер нагревает только воду и не перегревает эмаль. Процедура быстрая и безопасная: нет возможности повредить мягкие ткани и занести инфекцию.
Туннельный способ
В данном случае применяется бор с преимущественно алмазными наконечниками. Стоматолог аккуратно снимает верхний слой твердых тканей, формируя правильную форму культи. На конечный результат влияет опыт специалиста и качество его оборудования.
Туннельный метод имеет свои преимущества. Доктор имеет возможность точно планировать и контролировать процесс. Работа очень тонкая, так как снять необходимо всего пару миллиметров.
Основные недостатки:
- перегрев дентина может привести к разрушению зуба;
- вероятность повреждения слизистых оболочек;
- при неправильной технике работы появляются сколы или микротрещины;
- если анестезия недостаточная, пациент чувствует сильную боль.
Воздушно-абразивный способ
Осуществляется путем подачи мощной струи воздуха с мелкодисперсным абразивным веществом (напоминающим соду). Под высоким давлением абразивный порошок разрушает мелкие частички эмали, а воздух сдувает разрушенную зубную пыль.
Процедура очень быстрая и безболезненная. Аппарат не нагревается и не вибрирует, негативное влияние на пульпу (если она есть) отсутствует. Эмаль снимается постепенно очень тонкими слоями, что дает возможность сохранить максимальный объем собственных зубных тканей.
Химическая обточка
Доктор наносит на зубы специальный химический состав, который постепенно разрушает твердые ткани зуба. При этом нет надобности в анестезии, так как пациент не чувствует боли. Отсутствует нагрев тканей и возможность образования трещин. Психологический комфорт заключается в отсутствии шумного или громоздкого оборудования, которое пугает многих людей.
В отличие от других методик, химическая обработка занимает больше времени. Точная продолжительность процедуры зависит от объема работ, но пациенту может потребоваться сидеть в кресле с препаратом на зубах больше получаса.
Разновидности уступов при обточке
Наличие уступов обеспечивает наиболее точное и надежное прилегание коронки. К тому же, в этом случае протез не будет повреждать и натирать мягкие ткани.
На фото препарированных зубов можно четко рассмотреть разные виды уступов и понять, что это такое. Они формируются у самого основания, там, где коронка соприкасается с десной, при этом используется специальная нить для ее отодвигания.
Разновидности уступов:
- Круговой, его толщина не более 1,2 мм. Считается классикой в протезировании металлокерамикой.
- Ножевидный (3-4мм). Часто используется стоматологами, в частности для цельнолитых конструкций. Наиболее подходящий для наклонных зубов.
- Плечевой (2мм). Требует максимального обтачивания дентина и удаления пульпы. Однако в результате протез держится наиболее прочно, а сама коронка выглядит естественно и эстетично.
Как делается обточка на живом зубе?
Нюансы подготовки живых зубов к протезированию следующие:
- Качественное обезболивание, так как процедура болезненна. Обточка происходит медленно с небольшими перерывами.
- Возможно инфицирование пульпы. Чтобы его избежать, накладывается специальное обеззараживающее и защитное покрытие.
- После обработки зубы становятся чувствительными и незащищенными. Доктор поставит временный протез, используя цемент с анестетиком.
Казалось бы, проще удалить пульпу и не мучиться. Однако сохранение зуба живым имеет свои преимущества. Живые зубные единицы крепче и прочнее, они менее склонны к разрушению и образованию кариеса.
Протезирование без депульпирования дешевле, так как не приходится дополнительно платить за эту процедуру. Также не требуется дополнительная установка поддерживающих штифтов.
Бывают ли осложнения?
В большинстве случаев осложнения временны и вполне обратимы:
- Повреждение десны при неправильной обработке. Может произойти уничтожение края десны, что ведет к боли, воспалению и постепенной атрофии мягких тканей. Проблема требует своевременного лечения. При занесении инфекции возможно развитие гингивита.
- Вскрытие зуба во время обточки. Доктор нарастит (реставрирует) разрушенный фрагмент или удалит пульпу и поставит штифт.
- Воспаление пульпы после процедуры. Характеризуется отеком и дискомфортом, носит временный характер.
Поделитесь с друьями!