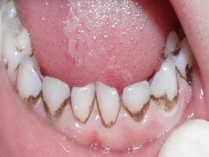
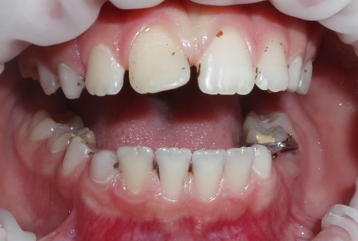
Налет черного цвета довольно часто возникает на детских зубах. Он может появляться даже в раннем возрасте, начиная с 1 года, когда прорезываются первые зубки. В некоторых случаях пятна на эмали свидетельствуют о нарушениях в функционировании внутренних органов, поэтому при их появлении родителям следует как можно быстрее показать малыша врачу. Это поможет предотвратить развитие серьезных заболеваний.
Какие факторы провоцируют образование темных пятен на эмали у детей? Чем опасны черные пятна и точки на зубах? Каковы причины появления налета Пристли? Что делать, если у младенца почернели зубки?
Подробно о налете Пристли

Врачи утверждают, что налет не представляет опасности для малышей, более важное значение имеют факторы, вызывающие его образование. Темные полосы на зубах могут предупреждать о внутренних патологиях. Если не обращать внимания на налет, то он постепенно твердеет и превращается в зубной камень. Однако удалить его при помощи стандартной щетки для зубов не получится. Эти точки и пятна являются результатом присутствия в ротовой полости бактерий.
Образование налета у каждого малыша происходит по-разному. У одних детей пигментация на эмали образуется за 1-2 дня, у других появляется постепенно на протяжении длительного промежутка времени. Черные разводы на зубах должны насторожить родителей. Несмотря на то, что ребенок может не жаловаться на дискомфорт в полости рта, его необходимо записать на прием к стоматологу, чтобы определить источник патологии.
Причины появления черного налета на зубах у детей
Почему на детских зубках образуется налет Пристли? Однозначно ответить на этот вопрос сложно. По мнению специалистов, в отложениях присутствуют патогенные микроорганизмы, которые в процессе жизнедеятельности выделяют вещества, придающие эмали темный цвет. Образованию налета способствуют определенные факторы. Темные пятна могут появиться по следующим причинам:
- Заболевания женщины в период вынашивания ребенка, подверженность стрессам и неправильный рацион. Если в период закладки зачатков зубов в организме будущей мамы было недостаточное количество кальция, то в будущем у малыша могут возникать нарушения в структуре зубов.
- Нарушение баланса микрофлоры кишечника у малыша. Пищеварительная система в детском возрасте еще окончательно не сформирована, поэтому не всегда работает стабильно. В результате сбоев в кишечнике возникает дисбактериоз, при котором патогенные бактерии могут активно размножаться, вызывая появление налета.
- Хронические заболевания желудочно-кишечного тракта. Такие состояния тоже создают предпосылки для дисбактериоза.
- Изменение естественной микрофлоры ротовой полости. Бактериальный баланс во рту у ребенка нарушается при лечении различными лекарственными препаратам. Особенно сильное влияние на микрофлору оказывают антибиотики.
- Избыток железа и других микроэлементов. Перенасыщение организма железом происходит в результате приема добавок с этим веществом. При этом на эмали может появиться темно-коричневый налет или отложения черного цвета.
- Снижение иммунитета. При нарушениях функций иммунной системы антибактериальная защита ослабевает. Это вызвает активное размножение некоторых бактерий в полости рта.
- Кариес. Заболевания зубов создают благоприятную среду для жизни патогенных микроорганизмов, поэтому при кариесе может образовываться темный налет.
- Сухой климат. Пониженный уровень влажности воздуха нарушает процесс выработки слюны, которая обеспечивает защиту слизистой оболочки рта от бактерий.
- Нерегулярное проведение гигиенических процедур. Родители должны заботиться о гигиене ротовой полости ребенка с начала прорезывания первых единиц молочного зубного ряда. Если чистка зубов у детей производится не регулярно, то зубки покрываются налетом.
- Гипоплазия эмали. Тонкий слой эмали более подвержен бактериальным отложениям, так как не обладает достаточным уровнем защиты.
- Большое количество сладостей в рационе. Продукты с высоким содержанием сахара увеличивают риск образования темных разводов на зубной эмали.
- Наследственные факторы. Предрасположенность к патологии может быть обусловлена и генетическими особенностями. Если родственники ребенка имели подобные проблемы, то вероятность появления темных точек и налета на зубах у малыша повышается.
В целях профилактики возникновения полос темного оттенка на молочных зубках родители должны правильно выбрать для ребенка зубную пасту. В детских гигиенических средствах не должно быть фтора, так как он тоже может провоцировать потемнения на эмали.
Когда необходимо немедленно обратиться к специалисту?
Первый поход к зубному врачу должен состояться в возрасте 9-10 месяцев. Специалист сможет выявить наличие проблем на ранней стадии. Затем зубного врача нужно посещать 1 раз в 6 месяцев. Однако могут возникать ситуации, требующие срочной стоматологической помощи. Визит к врачу не следует откладывать при обнаружении следующих симптомов:
- темный пигмент на эмали с устойчивым неприятным запахом изо рта;
- разрушение защитного слоя зуба под действием бактериального налета;
- зубная боль, возникающая при попадании в рот горячей или холодной пищи;
- разводы и полоски на зубах, сопровождающиеся кровоточивостью десен.
При возникновении указанных обстоятельств ребенка необходимо срочно показать стоматологу. Причиной этих симптомов могут быть как заболевания зубов, так и другие органические нарушения. Черные зубы у детей часто являются признаком патологии внутренних органов.
Налет, вызванный бактериями, может спровоцировать развитие кариеса и других серьезных стоматологических болезней. Воспалительный процесс во рту иногда становится причиной поражения корней и потери зубов, поэтому родители должны внимательно следить за процессом прорезывания и роста временных зубов у малыша и вовремя обращаться к врачу.
Диагностирование патологии
Современные медицинские технологии позволяют диагностировать стоматологические заболевания на начальной стадии их развития. При появлении стойкого налета черного цвета врач сначала проводит визуальный осмотр полости рта.
Далее используется метод лазерной диагностики, при помощи которого стоматолог выявляет все имеющиеся нарушения в структуре зуба, определяет наличие микротрещин на эмали и мельчайших зон, пораженных кариесом. Лазерная установка дает самые точные результаты при исследовании зубов. На основании результатов диагностики врач назначит малышу соответствующее лечение, учитывая степень развития заболевания.
При необходимости ребенку назначают дополнительные обследования. Они нужны в том случае, если специалист предполагает, что источник нарушения находится не в полости рта. При этом дальнейшим лечением будут заниматься другие узкие специалисты.
Как лечить черный налет на зубах?
Избавиться от налета Пристли самостоятельно практически невозможно. Детские зубные пасты и порошки не могут убрать темные пятна с зубной эмали. Для решения проблемы нужно обратиться к специалисту. Профессиональные средства и инструменты, использующиеся для чистки зубов, эффективно справляются со всеми видами отложений, а также удаляют зубной камень, не нарушая защитный слой эмали.
Если пятен и черных точек на молочных зубках много, то для их удаления используют ультразвуковой аппарат. После процедуры чистки малышу необходимо пройти курс лечения основного заболевания, которое стало причиной появления налета. С этой целью нужно посетить иммунолога, гастроэнтеролога или иных специалистов.
Чтобы не допустить повторного образования отложений Пристли, родители малыша должны ежедневно проводить ему гигиенические процедуры полости рта. Если ребенок чистит зубки самостоятельно, то очень важно правильно подобрать пасту и приобрести электрическую щетку.
Что советует доктор Е. Комаровский?
По мнению доктора Комаровского, налет черного цвета возникает на молочных зубах по причине отсутствия или неправильного проведения гигиенических процедур. Чтобы сохранить здоровье ротовой полости, надо с первых лет жизни учить малыша заботиться о своих зубах. Чем раньше он начнет пользоваться зубной щеткой, тем более здоровыми будут его зубки.
Благоприятные условия для образования налета создаются в период после приема пищи. Если не полоскать рот после еды, бактерии на слизистой оболочке начинают активно размножаться. В результате на зубах очень быстро появляются отложения. Так же негативно отражается на микрофлоре ротовой полости пересыхание слюны, которая обеспечивает защиту от патогенных микроорганизмов.
Предположения врачей о том, что причинами черных пятен может быть дисбактериоз, Евгений Комаровский считает ошибочными. Основная проблема заключается в недостатке гигиены.
Осложнения и последствия заболевания
Черные зубы у ребенка – это проблема, которая не только затрагивает здоровье ребенка, но и осложняет его социальную адаптацию в коллективе. Налет у малышей может вызывать различные комплексы, поскольку сверстники обязательно обратят внимание на эту особенность. Вследствие этого у детей понижается уровень самооценки, они начинают стесняться самих себя, что негативно отражается на их психическом развитии.
Кроме того, отложения на зубах всегда способствуют нарушению нормального баланса микрофлоры ротовой полости. В результате образования темного зубного налета могут появиться следующие осложнения:
- воспаление участков слизистой оболочки рта;
- запах изо рта;
- стоматит;
- нарушение эмали;
- образование камня;
- кариес;
- пародонтоз;
- гингивит.
Черные разводы и точки на молочных зубках могут распространиться и на постоянный зубной ряд в период смены зубов. Избежать подобных проблем можно при помощи ежедневной чистки зубов и регулярных визитов в кабинет стоматолога.
Меры профилактики
Когда у ребенка появляются первые зубки, мама должна проводить гигиенические процедуры ежедневно. Профилактика образования налета предполагает соблюдение следующих рекомендаций:
- Чистка зубов 2 раза в сутки. В раннем возрасте зубки нужно обрабатывать ватным диском, предварительно смоченным в отваре лечебных растений, обладающих противомикробными свойствами (шалфея, ромашки). Детям постарше необходима зубная паста. Кроме того, следует полоскать рот малыша водой после каждого приема пищи.
- Поддержание благоприятного микроклимата в помещении. Влажность и температура воздуха в квартире должны находиться на том уровне, при котором не пересыхают поверхности слизистых оболочек рта и носа. Сухость слизистой и малое количество слюны способствуют размножению патогенных бактерий.
- Контроль употребления сладостей. Сахар создает в полости рта благоприятную для бактерий микрофлору. Если ребенок ест конфеты, торты или шоколад, то после этого он обязательно должен прополоскать рот водой. Лучше заменить кондитерские изделия фруктами и овощами, которые содержат витамины и помогают очищать поверхность зубов.
Также мама не должна допускать передачи своих бактерий ребенку путем облизывания его пустышек. Это в несколько раз увеличивает риск развития заболеваний зубов. В ночное время можно поить малыша только водой. Молочные напитки, морсы и соки способствуют увеличению колонии патогенных микробов.
Важно, чтобы родители своевременно переводили детей на самостоятельное питание при помощи столовых приборов. Затянутый период кормления из бутылочки также негативно отражается на здоровье зубов.
Поделитесь с друьями!
