У родителей часто возникает вопрос, почему у малыша, у которого были идеальные белые зубки, со временем зубная эмаль покрывается пятнами и чернеет. Наиболее часто гниют передние зубы, доставляя ребенку психологический и физический дискомфорт (повышенная чувствительность эмали, болезненность). Почему у ребенка гнилые зубы, что делать и как можно предотвратить распространение этого процесса на остальные зубки?
Какие причины гниения зубов у детей?
Главной причиной гнилых зубов является кариес. Поражаются зубы ребенка в возрасте 2 года и старше. В результате постепенно разрушается эмаль, что при отсутствии своевременного лечения влечет за собой полную деструкцию костной ткани зуба. В большинстве случаев гнилые зубы у детей появляются под влиянием следующих факторов:
недостаточное потребление кальция и других минералов будущей мамой при беременности;
- вредные привычки матери;
- нарушение правил гигиены ротовой полости у ребенка, неправильно подобранные средства по уходу;
- злоупотребление сладостями и продуктами, которые могут повредить эмаль (карамель, сухари, лед);
- детские привычки грызть различные предметы (ручки, карандаши, ногти), травмирующие зубную эмаль и являющиеся источником инфекций;
- нехватка витаминов и минералов в организме у детей;
- влияние окружающей среды (загрязнение воздуха химическими соединениями, радиация) или облучение матери в период беременности;
- наследственность.
Механические травмы эмали и плохая гигиена полости рта
Микротрещины, царапины и сколы на эмали – это те места, в которых размножаются болезнетворные микроорганизмы. Именно поэтому очень важно следить за состоянием зубов у детей и по возможности избегать ситуаций, при которых малыш может повредить поверхность коронки. Ребенку следует правильно подобрать зубную щетку и пасту. Оптимальная жесткость щетины – средняя, но если эмаль тонкая, необходима мягка щетина. Паста подбирается индивидуально, рекомендуется заранее проконсультироваться со стоматологом.
Различные заболевания
Болезни, которыми переболел ребенок, также могут быть причинами возникновения гниющих зубов. Специалисты выделяют следующие заболевания:
- частые ангины (в особенности лакунарная и фолликулярная);
- язва, гастрит и другие заболевания ЖКТ;
- дисфункция печени;
- гормональные сбои в организме, связанные с работой эндокринной системы;
- вирусные заболевания, снижающие детский иммунитет;
- бронхиты, трахеиты, трахеобронхиты.
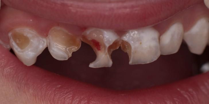
Стадии гниения молочных зубов
Существует несколько стадий гниения молочных зубов:
- Появление на эмали пятен. Сначала они имеют белый цвет, со временем темнеют до коричневого. Не причиняют никаких неудобств, кроме неприятного запаха и психологического дискомфорта.
- Потемнение пятен до черного цвета. Повышается чувствительность зубов при употреблении холодной или горячей пищи.
- Поражение дентина и пульпы. В соединительной ткани находятся нервные окончания, в связи с этим ребенок страдает от ноющей или острой боли.
- Характеризуется полным разрушением коронковой части детского зуба. Нервные волокна отмирают, боль притупляется, процесс гниения распространяется на корень. Если зуб полностью сгнил, восстановить его невозможно.
Как лечить?
Лечение назначает стоматолог в зависимости от степени поражения зубной эмали. В домашних условиях гниющие зубы вылечить нельзя, но можно дополнить курс лечения травяными чаями, которые обладают антибактериальными свойствами, и полосканиями полости рта. Игнорировать кариес временных зубов у детей нельзя, так как в запущенной стадии он может повредить зачатки постоянных зубов.
Лекарственные средства
При гниении молочных зубов применяют следующие лекарственные препараты:
- препарат Кальция глюконат (10%-й) или его гидрохлорид;
- растворы минеральных соединений фосфатов, фторсодержащих солей или уже готовые препараты (например, Ремодент);
- лечебные зубные пасты с высоким содержанием фтора (Lacalut Extra Sensitive, President Sensitive, Sensodyne F) и ополаскиватели (President Sensitive Plus, Elmex Sensitive, Desensin plus).
Народная медицина
Травы завариваются из расчета 1 с.л. на литр кипятка. Рекомендуется полоскать ротовую полость утром, перед сном и поле еды. Наиболее эффективными считаются следующие растения:
- ромашка аптечная — оказывает противовоспалительное и антимикробное действие;
- шалфей лекарственный — природный антисептик, эффективен против нарывов, способствует заживлению тканей;
- кора дуба — укрепляет зубную эмаль и десна;
- подорожник — подавляет размножение бактерий и грибков.
Можно полоскать ротовую полость раствором эфирных масел. Для этого необходимо растворить 3-4 капли масла эвкалипта, мяты перечной, чайного дерева, лаванды на стакан воды, добавить по 0,5 ч.л. соды и соли.
Стоматологические процедуры
При гнилых зубках у детей можно использовать специальные стоматологические процедуры для предотвращения распространения процесса гниения на здоровые зубные единицы:
- Фторирование. Обработка фторсодержащими препаратами (Фторлак, АКТ, Кореберон, Натриум флуоратум, Натрия фторид, Оссин). Проводится у детей в возрасте от 4-х лет. Предотвращает дальнейшее размножение бактерий.
- Реминерализация. Комплексное лечение, включающее применение электрофореза, обработку специальными средствами с фтором и кальцием, прием витаминно-минеральных комплексов и препаратов, содержащих кальций. Эффективность данного метода высокая, но обработку необходимо повторять с периодичностью раз в полгода.
- Озонирование. Антибактериальная обработка поврежденных тканей зубов озоном.
- Запечатывание фиссур. Заполнение бороздок на жевательной поверхности зуба стеклоиономерным цементом. В результате выполнения данной процедуры пища не скапливается в углублениях зубок, уменьшается количество бактерий.
- Серебрение. Обработка нитратом серебра, который покрывает зуб тонкой оболочкой, блокируя процессы гниения и сохраняя зубы до их замены на постоянные. Применяется только на молочных зубах.
- Технология Icon (микроинвазивное лечение кариеса). Лечение кариеса без высверливания пораженных кариозных полостей бормашиной. Процедура основана на заполнении полостей специальным полимером, восстановлении эмали, ее плотности и цвета.
На поздних стадиях проводится стандартное лечение с последующим пломбированием и использованием стеклоиономерного цемента. При полном разрушении костной ткани зуб удаляют.
Какие могут быть последствия?
Последствия отсутствия лечения зубов достаточно опасные:
- расстройства функций ЖКТ;
- нарушение работы сердечно-сосудистой системы;
- проблемы с формированием опорно-двигательного аппарата;
- заражение крови гнойными массами, сепсис;
- нарушение процесса формирования и роста постоянных зубов.
Кроме этого, проблемы с зубками могут быть причиной психологического дискомфорта ребенка. Малыш будет стесняться своего внешнего вида и отдалится от сверстников.
Меры профилактики
Для предотвращения процесса гниения зубок нужно соблюдать простые правила:
- следить за питанием малыша, гигиеной полости рта;
- укреплять иммунитет (закаливающие процедуры, витаминно-минеральнные комплексы);
- посещать стоматолога не реже одного раза в квартал;
- провести специальные процедуры в стоматологическом кабинете для защиты зубов;
- подобрать зубную щетку и пасту в соответствии с рекомендациями стоматолога.
Поделитесь с друьями!

недостаточное потребление кальция и других минералов будущей мамой при беременности;