Диафрагма представляет собой естественную перегородку, разделяющую грудную и брюшную полость. Она участвует в дыхании и состоит из мышечной и соединительной ткани. В нормальном состоянии она не позволяет выходить органам брюшной полости в грудную клетку, но образование отверстия мышечной ткани приводит к диафрагмальной грыже. В грудную полость при этом выходит часть желудка (кардиальный отдел), пищевод. Диагностируется заболевание часто у пациентов с жалобами на боль в желудке, за грудиной, изжогу и тяжесть дыхания. Рентгенологическая диагностика позволяет определить форму диафрагмальной грыжи и назначить курс терапии.
У здорового человека формирование диафрагмальной грыжи связано с острой травмой, и это ложная грыжа, так как грыжевой мешок и ворота отсутствуют. Истинная патология возникает у людей с приобретенными или врожденными пороками мышечной ткани, когда в диафрагме формируется отверстие в месте наибольшей слабости мышц. Через диафрагмальный дефект чаще выходит часть желудка и пищевод (через пищеводно-диафрагмальную связку).
Этиология
Причины появления слабости пищеводно-диафрагмальной связки и грыжи у детей и взрослых несколько отличаются. У новорожденных причины истиной диафрагмальной грыжи кроются в генетической аномалии, заболевание формируется еще в период внутриутробного развития плода. У взрослых причины пищеводно-диафрагмальных дефектов больше связаны с образом жизни и состоянием органов желудочно-кишечного тракта.
Основные причины развития диафрагмальной грыжи у взрослых;
- Хронические заболевания пищеварительной системы: рефлюкс-гастрит (вызывает пищеводно-диафрагмальный дефект), панкреатит, холецистит, язвенная болезнь желудка;
- Нарушение иннервации диафрагмы, что приводит к сбою напряжения мышц: релаксация участка диафрагмы и выпячивание с образованием грыжевого мешка;
- Заболевания дыхательной системы, сопровождающиеся хроническим кашлем;
- Период беременности, ожирение – эти состояния проявляются повышением внутриутробного давления, сдавливанию желудка и пищевода, почему и появляется пищеводно-диафрагмальное отверстие;
- Физиологическое старение: у людей после 50 лет пищеводно-диафрагмальная связка теряет тонус, что способствует выходу органов брюшной полости через диафрагмальное отверстие.
- истинные атипичные дефекты.
Есть отдельная классификация патологий пищеводно-диафрагмальной связки, зависимо от причины и особенностей течения заболевания.
Врачи отмечают, что диафрагмальная грыжа представляет собой серьезное состояние, которое требует внимательного подхода. Существует несколько видов этой патологии, включая скользящую и фиксированную грыжу. Скользящая грыжа возникает, когда часть желудка перемещается вверх через диафрагму в грудную полость, в то время как фиксированная грыжа характеризуется более стабильным положением органов.
Признаки диафрагмальной грыжи могут варьироваться, но наиболее распространенными являются изжога, боли в груди и затрудненное глотание. Врачи подчеркивают важность ранней диагностики, так как запущенные случаи могут привести к серьезным осложнениям, включая ущемление органов. Лечение может включать как консервативные методы, так и хирургическое вмешательство, в зависимости от тяжести состояния. Важно, чтобы пациенты обращались за медицинской помощью при первых симптомах, чтобы избежать дальнейших осложнений.
https://youtube.com/watch?v=Y1YqrdEBmOI
Классификация
Общая классификация грыж делит их на травматические и нетравматические. Нетравматическая диафрагмальная грыжа может быть врожденной или приобретенной. Приобретенные грыжи встречаются ложные и истинные, зависимо от наличия всех составляющих выпячивания.
Виды диафрагмальных грыж у детей и взрослых:
- врожденные ложные дефекты пищеводно-диафрагмальной связки;
- истинные дефекты связочного аппарата диафрагмы;
- грыжи анатомических отверстий ПОД.
Врожденные ложные патологии возникают в результате несрастания связок грудной и брюшной полости в эмбриональном периоде. Чаще у детей диагностируется дефект Бохдалека – диафрагмальная грыжа заднебоковой стенки. Истинные выпячивания слабых зон пищеводно-диафрагмальной связки развиваются во время высокого внутриутробного давления, что может происходить в разном возрасте на фоне существующих заболеваний. При таких дефектах есть грыжевой мешок, в который чаще попадает верхний отдел желудка, сальник и поперечная ободочная кишка.
Выпячивания атипичной локализации диагностируются редко, но в связи с наличием грыжевых ворот повышается риск защемления таких дефектов.
Симптомы
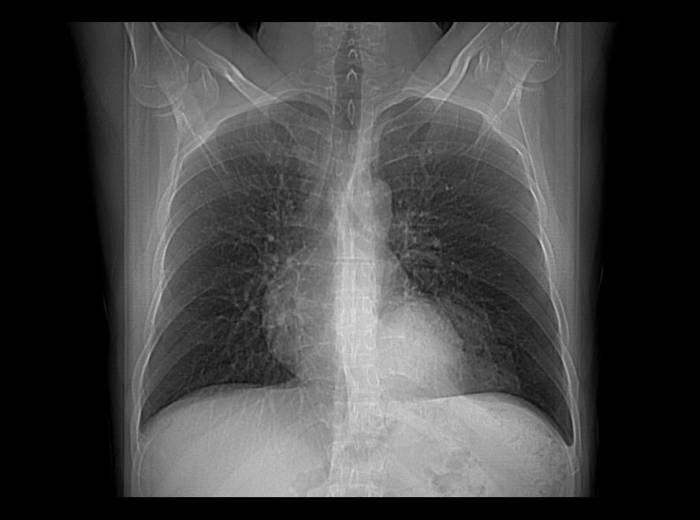
Диафрагмальные грыжи отличаются от других форм выпячивания отсутствием внешнего дефекта, так как часть желудка или кишки выходят не под кожу, в другую полоть. Признаки диафрагмального выпячивания проявляются в виде нарушения работы пищеварительной системы, потому только рентгенологическая диагностика позволяет увидеть реальное заболевание пищеводно-диафрагмальной связки.
Диафрагмальные грыжи имеют следующие признаки:
- изжога выражается ощущением жжения в эпигастральной области, усиливается при наклоне туловища и после наполнения желудка, это проявление связано с нарушением тонуса кардиального клапана желудка, разделяющего его с пищеводом;
- отрыжка с воздухом, как результат проникновения в желудок воздуха;
- хроническое кровотечение пищевода приводит к анемии;
- вздутие живота и ощущение дискомфорта;
- болезненность в области сердца часто принимается за сердечные боли, но при грыже это объясняется сдавливанием желудка и пищевода.
В случае небольшого размера дефекта признаки выпячивания желудка могут вовсе отсутствовать, и только рентгенологическая диагностика при обследовании больного может указать на наличие заболевания.
В случае травматической патологии начинается кровотечение, которое можно остановить только проведением хирургического лечения. Травма диафрагмы приводит к ложному дефекту, и часто происходит при ножевом ранении грудной или брюшной полости. Есть и травматическая истинная грыжа, возникающая при хроническом травмировании органов или постоянном повышении внутриутробного давления. Такое заболевание можно устранить консервативными методиками, но для полного излечения необходима пластика.
Диафрагмальная грыжа вызывает множество обсуждений среди пациентов и врачей. Люди часто делятся своими ощущениями и симптомами, такими как изжога, боль в груди и затрудненное глотание. Многие отмечают, что симптомы могут усиливаться после еды или в положении лежа. Важно понимать, что не все грыжи проявляются одинаково: у некоторых пациентов они могут быть бессимптомными, в то время как другие испытывают значительный дискомфорт. Обсуждая признаки, многие упоминают о необходимости медицинского обследования, так как игнорирование симптомов может привести к осложнениям. В целом, осведомленность о диафрагмальной грыже помогает людям лучше справляться с этим состоянием и искать необходимую помощь.
https://youtube.com/watch?v=GKYEpalkcAg
Осложнение
Частым и серьезным осложнением, которые дают диафрагмальные грыжи, выступает ущемление – это закрытие грыжевых ворот, что сопровождается анемией органов, находящихся в мешке грыже. В случае защемления происходит усиление клинической картины, состояние больного сильно ухудшается, начинается интоксикация организма. Это осложнение может закончиться разрывом органа и выходом содержимого в грудную полость – пиопневмоторакс.
Диагностика
Выявляются диафрагмальные грыжи после проведения инструментальной диагностики и фиброэзофагогастродуоденоскопии (ФЭГДС). Первым этапом диагностика включает обследование хирурга. Врач осматривает больного и может выявить сглаживание межреберного пространства в месте выпячивания, а также уменьшение подвижности грудной клетки. Специалист собирает жалобы больного, знакомится с историей болезни, ищет скрытые причины грыжи в анамнезе.
Диафрагмальные грыжи диагностируются следующими способами:
- Рентгенологическое исследование позволяет увидеть расположение органов, для этого предварительно пациент выпивает контрастное вещество;
- ФЭГДС проводится с целью исследования слизистой оболочки желудка и пищевода для поиска сопутствующих заболеваний;
- Исследование рН назначается для определения кислотности желудочного сока, которая при диафрагмальной патологии повышенная.
Во время диагностики необходимо точно определить причину заболеванию, локализацию органов и риски появления осложнений. В запущенных случаях опасных для жизни больного назначается немедленная операция. Такая необходимость присутствует в случае кровотечения, некротического процесса при защемлении органов в грыжевом мешке.
Операция не проводится, если заболевание можно контролировать консервативными методами или есть противопоказания к хирургическому лечению.
https://youtube.com/watch?v=OGSG8C7yVlQ
Консервативное и радикальное лечение
Лечение при грыжах диафрагмы включает соблюдение диетического питания, прием антацидных препаратов, исключение сопутствующих заболеваний.
Консервативное лечение включает следующие мероприятия:
- Прием медикаментозных препаратов для нормализации пищеварения и кислотности желудочного сока: Альмагель, Омез, Но-шпа;
- Назначение щадящей диеты: исключение острой, жирной пищи, питание мелкими порциями по несколько раз в день;
- Купирование болевого синдрома: анальгетики и спазмолитики (Дротаверин).
Хирургическое лечение показано при больших дефектах, в случае ущемления и кровотечения. Хирург иссекает грыжевой мешок и проводит пластику естественными тканями. В некоторых случаях проводится ушивание синтетическими тканями. После операции больной продолжает следовать диете и принимает назначенные врачом препараты.
Вопрос-ответ
Какие бывают диафрагмальные грыжи?
Диафрагмальные грыжи бывают: травматические и нетравматические.
Какие виды грыжи пищевода бывают?
Существует несколько видов грыжи пищевода, наиболее распространенными из которых являются скользящая (или аксиальная) грыжа, при которой часть желудка смещается вверх через диафрагмальное отверстие, и параэзофагеальная грыжа, при которой желудок располагается рядом с пищеводом, но не смещается. Также выделяют смешанные грыжи, которые сочетают в себе признаки обеих форм.
Как узнать, что у тебя диафрагмальная грыжа?
Симптомы диафрагмальной грыжи. При аускультации можно наблюдать урчание в груди, характерное для брюшной полости. Могут беспокоить боли за грудиной, иррадиирующие в плечо. Возможно выявление тахикардии, одышки, трудностей во время проглатывания пищи. Пациенты могут предъявлять жалобы на ощущение «комка».
Советы
СОВЕТ №1
Обратите внимание на симптомы. Если вы испытываете такие признаки, как изжога, боль в груди или затрудненное глотание, не игнорируйте их. Эти симптомы могут указывать на наличие диафрагмальной грыжи, и важно обратиться к врачу для диагностики.
СОВЕТ №2
Изучите различные виды диафрагмальной грыжи. Существует несколько типов, включая скользящую и параэзофагеальную грыжу. Понимание различий поможет вам лучше обсудить свое состояние с врачом и выбрать подходящее лечение.
СОВЕТ №3
Следите за своим образом жизни. Правильное питание, отказ от курения и умеренные физические нагрузки могут снизить риск развития диафрагмальной грыжи. Избегайте переедания и старайтесь не ложиться сразу после еды.
СОВЕТ №4
Не стесняйтесь задавать вопросы своему врачу. Если вам поставили диагноз диафрагмальной грыжи, уточните все детали о вашем состоянии, возможных осложнениях и вариантах лечения. Чем больше информации вы получите, тем лучше сможете управлять своим здоровьем.




