Рак поджелудочной железы — это заболевание, вызванное неконтролируемым ростом атипичных клеток поджелудочной железы. Этот орган желудочно-кишечного тракта расположен ниже и позади желудка, впереди позвоночника. Поджелудочная железа (ПЖЖ) производит ферменты для переваривания пищи, а также вещества, контролирующие уровень сахара в крови. Чаще всего раковая опухоль развивается из клеток, выстилающих протоки железы. Болезнь долго никак не дает о себе знать: первые проявления очень неясные и не позволяют заподозрить серьезное заболевание. Симптомы усиливаются вместе с распространением и ростом опухоли. Рак поджелудочной железы редко возникает у лиц в возрасте до 40 лет, чаще — у людей старше 75.
Вероятные симптомы
Вследствие особенностей размещения поджелудочной железы, которая контактирует со всеми пищеварительными органами, и имеет непосредственную рабочую взаимосвязь с ними, развитие выраженных симптомов заболевания указывает на болезненную процессию, которая уже зашла довольно далеко.
Признаки опухоли поджелудочной несколько отличаются, все зависит от размещения повреждения органа. Независимо от расположения онкологических распространенных образований, появляются такие симптомы:
- синдром боли;
- депрессивное состояние;
- пожелтение кожного покрова;
- утрачивается масса тела.
Болевой дискомфорт иногда имеет не четкую локализацию, однако часто выявляется в эпигастральной области, под левым и правым ребром, отдавая в спину.
Зона, где формируется симптом боли, зависит от поврежденной образованием область железы:
- в закупорке холедоха либо вирсунгова канала;
- перитонеальных явлений по причине обострения сопутствующего воспалительного процесса, который развивается в тканях, расположенных рядом;
- в сдавливании нервных стволов.
Оттого как формируются новообразования поджелудочной железы, происходит нарастание диспепсических расстройств.
- Отсутствует желание кушать.
- Подташнивает.
- Появляются отрыжки воздухом вследствие вздутия живота.
- Открывается рвота.
- Нарушается стул – диарея, запор.
Главный ранний симптом рака поджелудочной железы – стремительная утрата массы тела. Пострадавший сильно сбавляет в весе в результате изменения пищеварительного процесса и отравления раком, которое определено продуктами разложения образования. Атипичные быстро делящиеся клетки образования, утрачивают свою деятельность, не производя ферменты. Так как сдавливается вирсунговый канал или холедоха разрастающим образованием, в канал ДПК оканчивается приход.
- Пищеварительный сок с ферментами и распад ими углеводов, жиров, белков.
- Желчь, при наличии которой расщепляются жиры.
На последней стадии заболевания поджелудочной железы проявления опухоли прогрессируют, возникают новые. При раке тела и хвоста наблюдаются тромбозы сосудов, развивающиеся чаще, относительно ракового повреждения головки.
При развитии рака, симптомы меняются и может формироваться:
- сахарный диабет;
- снижение уровня глюкозы;
- панкреатический стул;
- пожелтение кожных покровов, слизистой.
Если больной ранее не сталкивался с диабетом, болезнь поражает орган, когда рак охватывает хвостовую часть железы. Это объединено с большим размещением этой зоне островков Лангерганса с клетками бета, вырабатываемые глюкозу, клетками альфа, которые синтезируют антагонист инсулина – глюкагон.
Вследствие неполноценной выработки инсулина происходит нарушение формирования глигогена из глюкозы, что в дальнейшем ведет к развитию сахарного диабета.
Диабет как следствие рака, характеризуется рядом симптомов.
- Головная боль.
- Невозможность концентрировать внимание.
- Увеличенная утомляемость.
- Увеличение количества выделяемой мочи.
- Сухость в ротовой полости.
- Возникновение галлюцинаций.
- Помрачение рассудка.
- Неакдекватность в поведении.
- Наличие судорог.
- Развитие комы.
При сахарном диабете необходимо обратить внимание на свое здоровье и проходить наблюдение у врача.
Панкреатический стул характеризуется такими проявлениями:
- серый цвет кала;
- жирный блеск;
- смрадный запах;
- опорожнение до нескольких раз в сутки.
Желтушность формируется по мере распространения рака. У больного желтеет кожный покров, склеры, слизистые, обесцвечиваются экскременты, темнеет моча, наблюдается также расширение желчных протоков. Нарастание истеричности формируется от развития патологии. Больной жалуется на мучительный зуд, который усиливается по ночам, сильные боли. Эти симптомы могут развиться на поздних стадиях, когда опухоли прорастают в ворота печени.
У беременных и детей симптоматические признаки требуют лечения, которое будет постоянно контролироваться врачом. Терапия рака требует разработки индивидуальной схемы.
При вынашивании ребенка лечение подбирается в зависимости от недели беременности, стадии опухоли. Если выявляется рак на тридцать первой неделе, проводится симптоматическая терапия по устранению боли, основное лечение проводится после рождения ребенка. До 12 недель выявления рака, женщине предлагают прервать беременность.
В случае развития рака, чтобы подтвердить диагноз, железе необходима диагностика. Назначают обследования с помощью УЗИ. В качестве дополнительной диагностики сдают анализы при раке поджелудочной железы, исследуются показатели крови и мочи, назначаются рентгенологические и другие методы диагностики.
Основной задачей УЗИ является выявление первичных показателей. Это размер поджелудочной железы, форма. Затем проверяют паренхиму и присутствие рака.
Что покажет исследование в случае рака
Определенной подготовки для УЗИ диагностики не требуется. Чтобы лучше просмотреть орган врач просит надуть живот и на некоторое время удержать дыхание.
Если у больных наблюдается вздутие, им советуют следовать бесшлакового диетического питания на протяжении 3 суток до проведения УЗИ и пить адсорбирующие препараты. Это активированный уголь, принимаемый по 2 пилюли 3 раза в сутки. Перед проведением УЗИ нельзя ужинать. Последняя трапеза проходит за 7 часов до обследования.
При осуществлении диагностики на УЗИ поджелудочной железы видно:
- при единичной локализации опухоли очаг рака один;
- в случае прогрессивности просматривается опухоль плотной структуры.
В основном, определение исследований проходит не только железы, а и всей системы пищеварения – брюшная полость, малый таз, мягкие ткани органа.
Разновидность УЗИ – доплерография, при проведении которой с помощью специального датчика сонологом оценивается особенность кровотока. В случае обнаружения извилистых сосудов на УЗИ, это указывает на рак.
Помимо рака на УЗИ обнаруживается ряд заболеваний.
Из инструментальных методик применяют КТ и магнитно-резонансное сканирование. Мультиспектральная томография позволяет выявить метастазы рака поджелудочной железы. Лапароскопия является хирургическим способом исследования, при котором возможно выявить рак в брюшине. При процедуре осуществляется биопсия рака для последующего гистологического анализа.
Как проверить поджелудку на онкологию
При появлении вышеперечисленных симптомов необходимо обратиться к врачу. Полный комплекс обследования позволит выявить рак поджелудочной железы как можно раньше. Лечение, начатое на ранней стадии, увеличивает его эффективность и улучшает прогноз.
Как проводят диагностику
Диагностика начинается со сбора жалоб и сведений о динамике самочувствия. Выявляются факторы риска. Большое внимание уделяется семейному анамнезу. Для врача важно знать, чем болели близкие кровные родственники. Анализ этих сведений позволит предположить наследственную природу заболевания. При необходимости назначается генетическое тестирование.
Следующий этап – осмотр. Врач оценивает общее состояние пациента, упитанность, цвет кожи и видимых слизистых. Измеряется температура тела, пальпируются лимфатические узлы, живот.
При врачебном осмотре выявляют признаки пониженного питания, желтушность, повышение температуры, увеличение лимфатических узлов, боль в животе при пальпации. Иногда удаётся прощупать увеличенную поджелудочную железу. При метастазах в печень обнаруживают её увеличение.
Врач назначает необходимые исследования:
- в общем анализе крови выявляют повышение СОЭ;
- при биохимическом исследовании обнаруживается увеличение альфа- и гамма-глобулинов, повышение активности ферментов (ЩФ, ГГТП, АЛТ, АСТ);
- методы визуализации – УЗИ, КТ, ЭРХПГ;
- аспирационная биопсия ткани железы верифицирует опухоль и устанавливает её морфологический вариант.
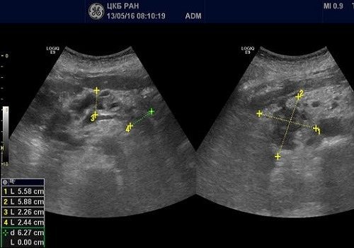
С помощью методов визуализации определяют место расположения, размер, плотность опухоли, метастазы, вовлечение в процесс лимфоузлов, сосудов, соседних органов.
Как выглядит на УЗИ
Для диагностики рака поджелудочной железы используют следующие методы ультразвуковой диагностики:
- Трансабдоминальное УЗИ органов брюшной полости. Классический метод исследования через переднюю брюшную стенку.
- Чрезпищеводное УЗИ. Эндоскоп заводят в пищевод через рот. Метод более информативен и показан для определения состояния желудка двенадцатиперстной кишки, головки поджелудочной железы.
- Трехмерная реконструкция ультразвукового изображения в режиме 3D. Выявляют мелкие злокачественные очаги в ткани железы. Исследуют поражение сосудов, питающих её. Устанавливают анатомическое расположение опухоли по отношению к близлежащим органам.
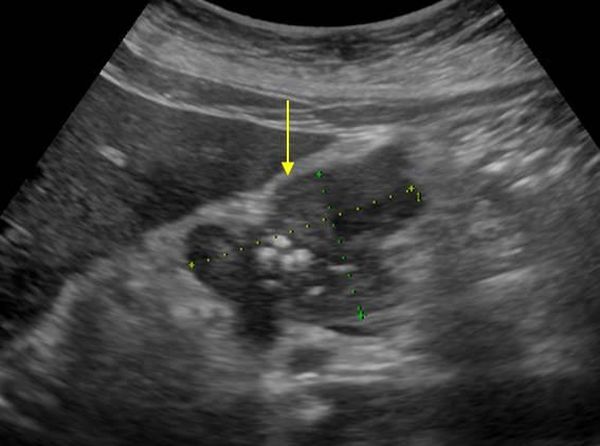
Рак на УЗИ выглядит в виде объёмного образования в структуре органа. Оно может выявиться в зоне головки, тела или хвоста. На УЗИ визуализируется размер, форма и плотность опухоли. При раке головки отмечают её увеличение. Она приобретает округлую форму. Выявляют распространение злокачественного процесса на соседние органы, прорастание опухоли в близлежащие сосуды, появление метастатических очагов в лимфатических узлах.
Опухоли поджелудочной железы на УЗИ
Онкомаркеры
Онкомаркеры – вещества, выделяемые клетками злокачественной опухоли. При возникновении рака они появляются в крови. Чем больше размер новообразования, тем выше уровень онкомаркеров. В идеале каждому виду рака должен соответствовать определенный онкомаркер. Только в этом случае диагностика будет точной и специфичной.
Кроме того, онкомаркеры используют для оценки эффективности лечения и выявления рецидивов опухоли.
Установлено, что при раке поджелудочной железы в крови повышается содержание:
- СА 19-9 – карбогибратного антигена;
- РЭА – раково-эмбрионального антигена.
Чтобы проверить на рак поджелудки, целесообразно исследовать одновременно оба онкомаркера.
Нормативные значения СА 19-9 не превышают 40 МЕ/мл. При злокачественной опухоли поджелудочной железы концентрация увеличивается до 550 МЕ/мл и более. При отдаленных метастазах – выше 1000 МЕ/мл.
СА 19-9 не повышается на ранней стадии заболевания, поэтому не годится для раннего выявления рака или для скрининга.
Специфичность СА 19-9 невелика, так как он повышается и при опухолях других органов – печени, толстой кишки, желудка.
При панкреатическом раке РЭА повышается более, чем в 10 раз. Однако, его специфичность еще ниже. Увеличение РЭА отмечается при раке толстого кишечника, лёгких, молочной железы, желудка, пищевода, щитовидной железы, яичников, шейки матки, носоглотки.
Онкологические научные центры проводят исследования по поиску новых высокоспецифичных и надежных маркеров. Первые результаты уже есть. Возможно, в ближайшем будущем появятся методы раннего выявления этого грозного заболевания.
УЗИ признаки
Опухоль на мониторе аппарата УЗИ просматривается в качестве объемного новообразования, имеющая неправильную форму и неровные края. Наблюдается изменение тканей поджелудочной железы низкой эхогенности. Образование неоднородной структуры. Нередко возникают сложности дифференциации образования от псевдотуморозной формы панкреатита, потому требуется тщательное исследование панкреатического канала. При болезни основной панкреатический проток выглядит расширенным, на своем протяжении его диаметр неравномерный. Когда есть рак, канал расширяется только ниже опухоли.
Также благодаря УЗИ определяется, нужна ли операция образования. Для этого врач дает оценку расположения рака для сосудов значительных размеров.
- Нижняя полая и воротная вена.
- Аорта.
- Верхняя брыжеечная артерия.
В случае тесного соприкосновения с одним либо несколькими сосудами на значительном расстоянии, то лечение рака поджелудочной железы невозможно оперативным путем либо имеются определенные трудности в ее проведении.
Лечение
Наиболее эффективным методом считают хирургическое удаление опухоли и метастазов. Однако на момент выявления заболевания число операбельных случаев составляет не более 15-16%. Тогда пациентам назначается химиотерапия и паллиативное симптоматическое лечение. Его задачами являются:
- Уменьшение боли при помощи анальгезирующих, спазмолитических средств, блокады чревного сплетения, паллиативной лучевой терапии.
- Восстановление оттока желчи. Если планируется консервативное лечение, при механической желтухе и увеличении общего билирубина до 250 мкмоль/л показано выполнение желчеразгрузочной операции.
- Восстановление проходимости двенадцатиперстной кишки путем стентирования или наложения обходных анастомозов между желудком и нижними отделами тонкого кишечника.
- Лечение сахарного диабета.
- Заместительная ферментная терапия экскреторной недостаточности.
В некоторых случаях пациентам назначается лучевая терапия – воздействие низких доз ионизирующего излучения на опухоль. Предложены новые способы лучевого лечения, например «кибер-нож». Метод рассматривается, как альтернатива хирургическому удалению опухоли. Высокие дозы излучения подаются точечно, непосредственно на раковые клетки. Негативные побочные эффекты сведены к минимуму.
Химиотерапия
Лечение рака цитостатиками применяется в неоперабельных случаях или в качестве вспомогательной терапии после радикальной операции. Химические препараты уничтожают раковые клетки или замедляют их рост.
Назначение химиотерапии после операции повышает выживаемость и снижает риск рецидивов. Чаще применяют химиотерапию в комбинации с лучевым лечением.
Разновидностью химиотерапии является таргетная терапия. Она предполагает прицельную доставку цитостатиков к клеткам опухоли. При этом воздействие препарата на здоровые ткани исключается.
Применение цитостатиков вызывает уменьшение размеров опухоли. К сожалению, эффективность химиотерапии составляет не более 28%.
Операция по удалению опухоли
Операция – единственный эффективный метод лечения рака поджелудочной железы. Вид оперативного вмешательства зависит от стадии злокачественного процесса, размера опухоли, вовлечения соседних органов и тканей.
- При раке головки проводят стандартную гастропанкреатодуоденальную резекцию. Удаляется головка ПЖ, часть желудка, общий желчный проток, двенадцатиперстная кишка, близлежащие лимфоузлы. Формируют анастомоз остатка поджелудочной железы с тощей кишкой.
- Если рак поражает тело или хвост, удаляют дистальные отделы железы и регионарные лимфоузлы.
- При распространении опухоли по панкреатическому протоку или выявлении нескольких опухолевых очагов в железе проводят её тотальную резекцию и удаление регионарных лимфатических узлов. Резекция части кровеносных сосудов улучшает отдалённые результаты лечения. В ряде случаев удалению подлежат общий желчный проток и пилорический отдел желудка.
Поражение опухолью регионарных лимфатических узлов ухудшает прогноз. Если в процесс вовлечены чревный ствол, верхняя брыжеечная и общая печеночная артерии, случай считают неоперабельным.
Помогают ли народные средства
Народные средства применяются как вспомогательные. Они улучшают самочувствие, способствуют желчеотделению, благоприятно действуют на пищеварение. В народной медицине используются:
- травяные сборы, содержащие овёс, очиток, фенхель, золототысячник, полынь;
- противоопухолевые сборы на основе лесных грибов, основной компонент – гриб строчок.
Врачи-онкологи считают лечение рака травами и грибами не только не эффективным, но и небезопасным. Вместо того, чтобы как можно быстрее начать полноценное лечение, пациент пытается лечиться народными средствами. На это уходят дни, недели и даже месяцы. А в это время рак прогрессирует и становится инкурабельным, то есть неизлечимым.
При обнаружении подозрительных симптомов необходимо срочно обратиться в медицинское учреждение к терапевту, который при необходимости направит к онкологу.
Способы диагностики патологии
Для определения злокачественного образования ПЖ применяются лабораторные и функциональные методы диагностики. Последние бывают инвазивными (проводятся с нарушением целостности кожи) и неинвазивные. Ультразвуковое исследование органов брюшной полости и забрюшинного пространства (УЗИ ОБП и ЗП, эхография) относится к безопасным диагностическим методам, не имеет противопоказаний, назначается сразу для исключения грубой патологии, являясь скрининговым, эффективен на начальной и более поздних стадиях болезни. В его основе лежит использование ультразвуковых волн.
С помощью этого метода выясняются:
- форма ПЖ;
- размеры органа в целом и его составляющих частей;
- плотность паренхимы;
- наличие новообразований и их распространенность в пределах железы и за ее границами.
Чувствительность УЗИ составляет 73,8%, специфичность – 75%, точность – 74,3%. Увеличенные регионарные лимфоузлы при УЗ исследовании выявляются в 30-47%, верхнеабдоминальные и забрюшинные — 78,9%, метастазы в печени — в 46-74% случаев.
В 30% случаев УЗИ может не дать диагностических результатов в связи с имеющимся у пациента:
- ожирением;
- асцитом;
- особым топографическим расположением органа.
Для более детального исследования, проверки результатов УЗИ и уточнения диагноза используются другие методики:
- МРТ;
- КТ;
- ЭРПХГ (эндоскопическая ретроградная панкреатохолангиография);
- МРПХГ;
- биопсия с дальнейшим микроскопическим изучением взятых для анализа тканей.
МРТ и КТ с контрастированием — более высокочувствительные способы проведения диагностики. КТ, по сравнению с МРТ, — более опасная процедура в связи с высокой лучевой нагрузкой. Для МРТ, которая проводится в магнитном поле, существуют некоторые ограничения (наличие металлических имплантов в организме). С помощью этого метода обнаруживается опухоль от 2 сантиметров.
ЭРПХГ опасна осложнениями, поэтому используется реже.
Прогнозы по сроку жизни
Прогноз зависит от стадии заболевания. Если операция выполнена на ранних стадиях и проведен полный курс химиотерапии, то около 30% переживают 5-летний послеоперационный рубеж.
К сожалению, 80-90% больных обращаются за помощью, когда раковая опухоль уже распространилась и дала метастазы. На поздних стадиях болезнь не поддаётся лечению, срок жизни пациентов ограничивается несколькими месяцами.
На сегодняшний день 5-летняя выживаемость после комплексного лечения составляет всего 5-10%. В среднем прогноз по сроку жизни после операции ограничивается 1,5-2 годами.
Высока послеоперационная летальность – до 30%.
Улучшение ситуации сводится к решению следующих задач:
- поиск маркеров раннего выявления заболевания;
- повышение доступности информативных методов обследования (КТ, УЗИ) для выявления заболевания на доклинической стадии;
- диспансерное наблюдение лиц из групп риска;
- разработка эффективных цитостатиков;
- пропаганда здорового образа жизни.
Симптоматика заболевания
Из-за особенностей расположения железы, находящейся в непосредственном контакте со всеми органами пищеварения, и тесной функциональной связью с ними появление выраженной клинической симптоматики свидетельствует о далеко зашедшем патологическом процессе.
Клинические проявления рака ПЖ немного различаются в зависимости от локализации поражения органа. Но при любом расположении новообразования возникают:
- болевой симптом;
- диспепсия;
- желтуха;
- потеря массы тела.
Боль иногда бывает без четкой локализации, но чаще всего определяется в эпигастрии, левом или правом подреберье, иррадиирует в спину. Место, где определяется болевой симптом, зависит от пораженного опухолью участка железы. Причиной боли является:
- закупорка холедоха или вирсунгова протока;
- перитонеальные явления из-за обострения сопутствующего воспаления, развивающегося в соседних с опухолью тканях;
- сдавление нервных стволов.
По мере развития заболевания нарастают диспепсические расстройства:
- отсутствие аппетита;
- подташнивание;
- отрыжки воздухом из-за метеоризма;
- рвота;
- нарушения стула — поносы, запоры.
Важным симптомом заболевания является резкая потеря веса. Больной прогрессивно худеет в связи с нарушением пищеварения и раковой интоксикации, обусловленной продуктами распада опухоли. Атипичные клетки опухоли, которые быстро делятся, теряют свои функции — они не вырабатывают ферменты. В результате сдавления вирсунгова протока или холедоха растущим новообразованием прекращается поступление в просвет ДПК:
- панкреатического сока с ферментами и расщепление ими белков, жиров, углеводов;
- желчи, в присутствии которой происходит расщепление жиров.
Помимо этого, развивается механическая желтуха — один из главных диагностических критериев рака головки ПЖ. Ее появление связано с обтурацией холедоха или метастазами, проникшими в ворота печени. При поражении желчного протока этот признак может появляться на ранних этапах развития опухоли. Желчь скапливается в просвете желчного пузыря из-за сдавления холедоха. Определяется увеличенный пузырь, который можно пропальпировать из-за значительных размеров. Помимо иктеричности кожи, слизистых и склер, появляется мучительный кожный зуд из-за попадания в кровь и кожу желчных кислот.
На более поздних этапах симптомы прогрессируют, появляются новые. Они определяются:
- расположением новообразования;
- размерами опухоли;
- проникновением патологического очага в рядом расположенные и отдаленные органы;
- характером распространения метастазов.
При опухоли тела и хвоста ПЖ обнаруживаются тромбозы сосудов – они развиваются в 4 раза чаще, чем при раковом поражении головки. При наличии больших новообразований в теле или хвосте они поддаются определению при пальпации. Может развиваться спленомегалия, которая связана с метастазированием опухоли в селезенку, сосуды воротной вены или с образованием в них тромбов.
Ранние симптомы и признаки рака поджелудочной железы
В начале развития рак ПЖ может протекать бессимптомно. Признаки болезни, которые появляются на разных этапах, часто игнорируются из-за их неспецифичности: как правило, их принимают за симптомы патологии других органов пищеварения.
В начале развития болезни появляются дискомфорт в эпигастрии. Он может выражаться проявлением:
- неясных болевых ощущений без четкой локализации;
- диспепсии (подташниванием, иногда рвотой, запором или поносом);
- нарушением пищевых восприятий;
- снижением аппетита.
Вторичные признаки онкологии ПЖ
Со временем, когда болезнь развивается, изменения нарастают. Могут развиться:
- сахарный диабет;
- гипогликемия;
- панкреатический стул;
- механическая желтуха.
Сахарный диабет, если пациент раньше не страдал этой болезнью, развивается при поражении опухолью хвостовой части ПЖ. Это связано с преимущественным расположением там островков Лангерганса с бета-клетками, которые вырабатывают инсулин, и альфа-клетками, синтезирующими антагонист инсулина — глюкагон. При недостаточном образовании инсулина нарушается образование гликогена из глюкозы с последующим развитием сахарного диабета.
Глюкагонома образуется из α-клеток ПЖ, при их неконтролируемом делении также развивается сахарный диабет со всеми его симптомами (постоянной сухостью во рту, мучительной жаждой, частым мочеиспусканием, дальнейшим прогрессирующим поражением важных органов). Это происходит в связи с избыточной секрецией глюкагона, который может повысить уровень сахара в крови, расщепляя гликоген, имеющийся в мышцах и печени. Опухоль может со временем озлокачествляться, в результате чего начинает неудержимо расти.
Гипогликемия возникает при возникновении опухоли из β-клеток островков Лангерганса: инсулома начинает усиленно продуцировать инсулин (инсулинома). В случаях развития инсулиномы 70% составляет аденома, 30% приходится на агрессивную, быстро растущую аденокарциному.
УЗИ-признаки опухоли поджелудочной
Из-за особенности топографии ПЖ и бессимптомного протекания злокачественного образования на начальных стадиях выраженная клиническая картина, при которой пациент обращается за помощью, проявляется поздно – на конечных этапах болезни, когда лечение уже малоэффективно. Поэтому особенно важно диагностическое выявление опухоли ПЖ на стадии минимальных проявлений заболевания.
При проведении УЗИ можно увидеть характерный эхопризнак ракового новообразования — значительное увеличение отдельной части железы или выбухание ее контура. В 50-80% случаев в онкозаболевание вовлекается головка ПЖ. Даже опухоль незначительных размеров является хорошо видимой в головном конце на УЗИ. Это связано со следующими причинами:
- более четкая визуализация головки железы, по сравнению с другими ее частями;
- относительно быстрое сдавление холедоха, сопровождающееся появлением в короткие сроки изменений на сонографии.
Онкологический процесс в виде опухоли маленьких размеров в хвостовой части выявляется на УЗИ намного реже. О наличии новообразования такой локализации свидетельствуют признаки, подробно описываемые в расшифровке УЗИ (его протоколе). Исследование может показывать:
- нарушенную форму ПЖ;
- увеличенные параметры размеров хвостовой части.
Возможно поражение опухолью всей ткани ПЖ — мультицентричный рост. Картина, которая визуализируется на УЗИ, напоминает диффузный отек при остром панкреатите.
При раке ПЖ изменяются контуры органа: они становятся нечеткими, но, в отличие от хронического панкреатита, не имеют неровностей или зазубрин. В месте расположения опухоли визуализируются выпуклости, которые проникают в окружающую клетчатку в виде языков. Все это подробно описывается в заключении УЗИ.
В основном раковое образование ПЖ является гипоэхогенным, в нем не содержится внутренних эхоструктур. Но бывают опухоли с диффузно определяющимися эхосигналами или высокоинтенсивными эхосигналами в центре узла при отсутствии их на периферии опухоли. Граница между измененной опухолью и остальной тканью железы может быть нечеткой, но приблизительно видна всегда за счет разности в эхогенности нормальной и патологической ткани. Несмотря на схожесть структуры ткани образования (особенно если в ней отсутствуют участки структур с повышенной плотностью) с кистой, УЗИ с помощью эффекта дистального усиления дает возможность отдифференцировать злокачественный очаг от жидкостного образования.
Может ли УЗИ показать рак поджелудочной железы?
В большинстве случаев, имея только результаты УЗИ ПЖ, трудно однозначно определить наличие опухоли, ее инвазию в соседние или отдаленные органы, а также дифференцировать небольшие по размеру (до 3 см) раковые опухоли от участков локального воспаления ПЖ. Согласно опубликованным данным исследований одних авторов, чувствительность УЗИ для выявления новообразований ПЖ составляет более 90%. В других работах приводятся следующие величины при диагностике рака ПЖ:
- УЗИ – 84%;
- КТ – 88%;
- последовательное использование УЗИ и КТ – 97%.
При наличии опухоли в головке ПЖ анализируются данные расширенного вирсунгова протока: при раке выявляются ровные и неуплотненные стенки, в отличие от их изменений при хроническом панкреатите. Если диаметр главного выводного протока равен примерно половине толщины самой ПЖ, это является одним из признаков злокачественного процесса.
Возможна дилятация холедоха и более мелких внутрипеченочных протоков.
Расширение общего панкреатического и вирсунгова канала происходит и при наличии образования, сдавливающего их в окружности фатерова сосочка ДПК.
На УЗИ можно диагностировать сдавление и смещение проходящих рядом сосудов – нижней полой и брыжеечной вены. Это наблюдается и при хроническом панкреатите, и при опухоли, но в случае злокачественного образования выражено значительнее. При локализации опухоли в головной части ПЖ происходит смещение верхней брыжеечной вены в вентральном направлении, а при достижении узлом больших размеров сдвигается и сама головка.
Алгоритм обследования с помощью УЗИ
На основании данных УЗИ создан общий алгоритм обследования для точной диагностики рака ПЖ:
- чрескожное исследование в В-режиме в реальном времени – применяется для выявления опухолей и является скрининговым методом, с которого начинается обследование пациента;
- цветовое допплеровское сканирование или проведение УЗИ в В-режиме с использованием СО2 в качестве контраста — для дифдиагностики злокачественного образования и воспаления ПЖ;
- цветовое допплеровское сканирование в режиме ЦДК (цветного допплеровского картирования) или ЭДК (энергетического допплеровского картирования) — устанавливает взаимосвязь новообразования с близлежащими сосудами.
Чрескожное исследование в В-режиме
Чрескожное УЗИ в В-режиме – самый распространенный метод исследования паренхиматозных органов. Дает на экране двухмерное двухцветное изображение изучаемого органа. Позволяет увидеть:
Является одним из методов скрининга при патологии ПЖ.
Проведение УЗИ в В-режиме в реальном времени при раке поджелудочной железы основано на обнаружении прямых и косвенных признаков болезни. Прямые признаки – это выявление одиночного очага или полости с четкой границей неоднородной плотности между опухолью и нормальной тканью. Изменение паренхимы ПЖ является главным признаком имеющегося новообразования, наблюдаются при УЗИ в 80% случаев. По интенсивности отражения сигналов опухоль (ее эхогенность) может быть:
- гипоэхогенной;
- гиперэхогенной;
- изоэхогенной;
- смешанной.
Косвенными признаками являются:
- расширение холедоха и панкреатического протока (более 3 мм);
- значительное увеличение размеров ПЖ в области новообразования.
Расширение желчных протоков в печени возможно при наличии опухоли в головке ПЖ либо лимфатических узлах в области гепато-дуоденальной связки.
В зависимости от величины образования, показатели размеров железы могут быть неизменными либо локально или диффузно увеличены.
Цветовое допплеровское сканирование
Для диагностики рака ПЖ применяется метод с эффектом Допплера, названного по имени открывшего его австрийского физика. При этом получают цветное изображение отраженного ультразвукового сигнала. В отличие от обычного УЗИ, этот способ основан на отражении ультразвука подвижными объектами, например, клетками крови в сосудистом русле – эритроцитами. Из-за меняющейся частоты отраженного от них сигнала выявляются сосудистые патологии, определяются отличия доброкачественных новообразований от злокачественных опухолей, оценивается:
- скорость;
- направление движения потока;
- закупорка сосудов;
- коллатерали.
У данной процедуры отсутствуют противопоказания, не наблюдается побочных эффектов, пациент не подвергается облучению – оно отличается абсолютной безопасностью. С помощью ЦДК отображается цветное изображение тока крови, видны любые нарушения кровообращения в органе.
Причины появления опухоли
Причины появления опухоли ПЖ окончательно не определены. Поэтому имеет смысл говорить о факторах, которые увеличивают риск возникновения заболевания. К ним относятся:
- длительно существующий хронический панкреатит;
- наследственные заболевания (муковисцидоз, наследственный хронический панкреатит);
- генетическая предрасположенность – у кровных родственников риск повышается в 3-18 раз;
- хронический гепатит В и носительство Hbs-антигена;
- сахарный диабет;
- курение увеличивает риск в 2-3 раза в зависимости от стажа курения и количества выкуриваемых за сутки сигарет;
- содержание в пище большого количества жареных и копченых продуктов, богатых канцерогенными веществами;
- избыточное употребление крепкого кофе;
- вредные производственные канцерогенные химические вещества – бензин, бензидин, красители, растворители, пестициды;
- недостаток витамина D3.
Наследственный хронический панкреатит передается по аутосомно-доминантному типу. Начинается в молодом возрасте. У половины больных к шестидесятилетнему возрасту развивается рак.
Исследованиями установлено, что около 30% случаев панкреатического рака связаны с курением. Отказ от этой вредной привычки снижает риск заболевания на 30%.
Профилактика
Специфические методы, направленные на предупреждение рака головки поджелудочной железы, не разработаны. Но риск ракового поражения железы можно снизить, если соблюдать такие рекомендации, как:
- здоровое питание – соблюдение его режима, употребление в пищу полезных продуктов, ограничение употребления жирной мясной пищи и приправ;
- предупреждение, выявление и лечение патологий поджелудочной железы, желчного пузыря, желчевыводящих путей и печени;
- избегание влияния на организм агрессивных физических и химических факторов;
- отказ от вредных привычек.







