Белые прыщики во рту у малыша должны насторожить родителей. Неприятные, а часто и болезненные, образования могут свидетельствовать о наличии патологических процессов в организме. Зная, почему появились высыпания на языке, небе, внутренней поверхности щек, можно вовремя начать лечение и предотвратить осложнения.
Причины появления белых прыщиков в ротовой полости ребенка
Белые образования во рту у ребенка могут иметь вид прыщиков, точек, небольших пятен, язвочек. Они могут появляться по многим причинам, наиболее частые из которых — попадание в рот инфекции. Также образованию язв способствует травмирование слизистых оболочек ротовой полости – прикусывание языка, царапины.
В результате внешнего агрессивного воздействия слизистые оболочки в ротике ребенка воспаляются, возникает стоматит. По характеру поражения тканей различают несколько его типов:
- Бактериальный – вызванный проникновением в микротрещинки стрептококков и стафилококков. Бактерии заносятся в ротовую полость грязными руками или уже находятся во рту при наличии очагов кариеса, гингивита. Особенно часто такая форма стоматита наблюдается при ослабленном иммунитете у ребенка.
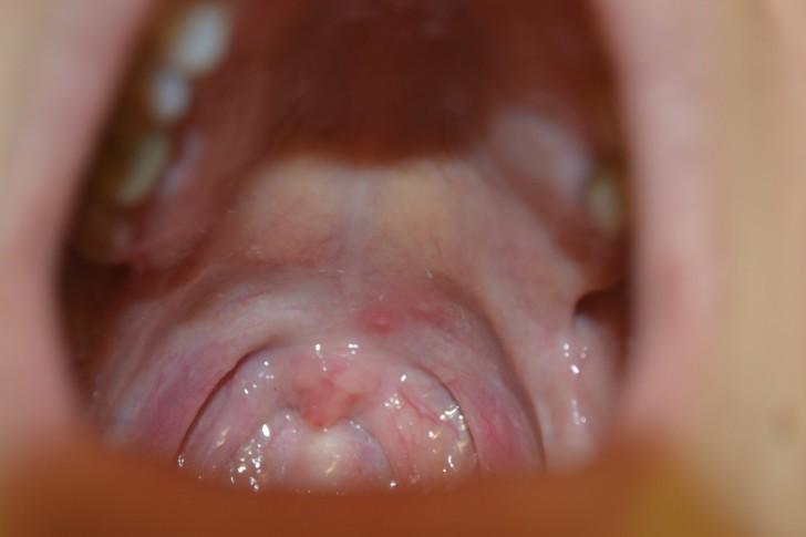
Грибковый (молочница) – диагностируется при поражении слизистых оболочек микроорганизмами рода candida (как на фото). В этом случае на языке, небе, в горле, внутри щек ребенка наблюдается белый налет.
- Герпетический – очень неприятная болезнь, вызванная первичным заражением вирусом герпеса или его рецидивами. Ребенок впервые может столкнуться с герпесом после окончания грудного вскармливания (до этого периода мамино молоко передает ему антитела к вирусу). К 6 годам большинство детей заражаются вирусом, который «засыпает» в организме и активизируется при падении иммунитета.
- Афтозный – характеризуется появлением болезненных язвочек (афт). При грамотном лечении они бесследно исчезают в течение месяца.
- Стоматит при заражении ветрянкой. Пузырьки с водянистым содержимым затрагивают не только кожные покровы, но и полость рта. Это характерно для тяжелого течения недуга.
Среди других серьезных причин, по которым возникают пятна белого цвета во рту, выступают ВИЧ, туберкулез. Патологию наблюдают при сифилисе, некротическом гингивостоматите, волчанке. Нередко белые прыщики во рту свидетельствуют о дисбактериозе (их расположение – на языке и небе, как на фото) или тонзиллите (сыпь на гландах, миндалинах, в области горла).
На деснах могут наблюдаться жировики. Они неопасны, если не увеличиваются в размерах. Если же они преобразуются в кисты, требуется лазерное удаление.
Сопутствующие симптомы
Определить заболевание, которое стало причиной появления белых прыщиков, можно по наличию дополнительных симптомов:
- Один из признаков стоматита – появление во рту не только белых прыщей, но и афт, язв, налета (как на фото). Образования болезненны, причиняют ребенку дискомфорт при еде, разговоре.
- Для герпетической инфекции характерно появление во рту водянистых пузырьков, которые через некоторое время лопаются. Наблюдаются повышение температуры, боль в горле, увеличиваются лимфоузлы. Болезнь протекает особенно тяжело, если малыш сталкивается с нею в первый раз.
- Для бактериального стоматита характерны повышение температуры, слабость, отеки мягких тканей и жжение во рту. Нередко наблюдаются покраснение и кровоточивость десен, неприятный запах изо рта. Степень выраженности симптомов зависит от формы недуга (легкая, средняя, тяжелая).
- Молочница сопровождается сильной болью и жжением во рту. Нередко поднимается температура, и тогда малыш становится вялым. Аппетит и желание играть у него отсутствуют. Налет и прыщики наблюдаются на щеках и языке. Их локализация на других участках в полости рта – повод для беспокойства.
- При ветрянке зудящая водянистая сыпь поражает тело ребенка. Во рту могут наблюдаться такие же язвочки, губы покрываются коркой.
Диагностические мероприятия
Родителям определить причину белых прыщиков во рту непросто, поэтому важно записаться на консультацию к врачу или вызвать педиатра на дом (если у ребенка жар, лихорадка). До встречи с врачом можно постараться облегчить состояние малыша. Первая помощь заключается в обезболивании пораженных участков гелями с лидокаином, полоскании рта настоями ромашки, шалфея, эвкалипта.
Хороший эффект обеспечит орошение полости рта Мирамистином или Хлоргекесидином. Перед применением любого лекарственного средства важно изучить инструкцию и уточнить, нет ли у малыша противопоказаний.
Доктор проведет осмотр полости рта, выслушает жалобы мамы и маленького пациента. Для уточнения диагноза будут показаны анализы (крови, мочи, цитологические исследование мазка со слизистой). Специалист выполнит дифференциальную диагностику с туберкулезом, сифилисом, иными опасными недугами.
Методы лечения
Выбор метода лечения зависит от характера и природы высыпаний, степени поражения полости рта. Терапия направлена на купирование болевого синдрома, лечение причины прыщей, снятие воспаления пораженных тканей. На основании данных обследования ребенку могут быть назначены:
- обезболивающие и противовирусные препараты локального действия – Арбидол, Винилин, Солкосерил;
- жаропонижающие в виде сиропов и свеч (Нурофен, Эффералган);
- противоаллергические средства (Зодак, Эриус, Тавегил);
- антибиотики (Линкомицин, Аугментин, другие);
- полоскания раствором Мирамистина, Хлорофиллипта, Стоматофита, настойками календулы, прополиса или ромашки;
- противогрибковые медикаменты (Дифлюкан).
Дополнительно назначается курс физиотерапии, направленный на устранение симптомов недуга и профилактики его рецидивов. Показаны воздействие магнитным полем, лазером, ультразвуком, аэрозольтерапия, лечение минеральными водами. При афтах во рту хороший эффект обеспечивает дарсонвализация, электрофорез с магнием. Для предотвращения рецидивов недуга рекомендован здоровый образ жизни, умеренная физическая активность, прием витаминно-минеральных комплексов в зимний период.
Отсутствие своевременного лечения белых высыпаний во рту ведет к таким неприятным осложнениям:
- потеря ребенком веса, слабость, низкий гемоглобин по причине отказа от еды;
- снижение иммунитета, при котором возрастает риск заболеть вирусной инфекцией;
- разрушение эмали;
- болезни зубов, десен.
Профилактические меры
Профилактика белых прыщиков и других высыпаний в ротовой полости заключается в следующем:
- регулярные прогулки, во время которых нужно одевать малыша по погоде, не допуская переохлаждения или перегрева;
- поддержание оптимального микроклимата в комнате, чтобы слизистая оболочка полости рта не пересыхала (температура – 18-22 градуса, влажность – 50-65%);
- приучение малыша к правилам личной гигиены, контроль над их соблюдением;
- отказ от слишком горячих, холодных, острых блюд;
- закаливание, укрепление иммунитета;
- питьевой режим: лучше пить травяные чаи, воду без сахара, разбавленные натуральные соки, компоты, морсы;
- отказ от фастфуда, жареных блюд, сладких газированных вод;
- профилактическое посещение стоматолога, правильный уход за зубами;
- отказ от пребывания среди людей во время эпидемий ОРВИ.
Если появления белых прыщей во рту избежать не удалось, не нужно заниматься самолечением. Следует обратиться к стоматологу или педиатру, и узнать причину высыпаний. Доктор назначит грамотное лечение, при соблюдении которого можно быстро побороть недуг.
Поделитесь с друьями!

Грибковый (молочница) – диагностируется при поражении слизистых оболочек микроорганизмами рода candida (как на фото). В этом случае на языке, небе, в горле, внутри щек ребенка наблюдается белый налет.