Накладки на зубы широко используются в стоматологии и представляют собой конструкции, которые устанавливаются на видимую линию улыбки. Они являются современной альтернативой пломбам и коронкам и позволяют не только придать зубам эстетичный внешний вид, но и устранить некоторые дефекты. Существует много разновидностей накладок на зубы (виниров). Прежде чем выбрать оптимальный вид, необходимо изучить информацию о способах их крепления, достоинствах и недостатках, показаниях и противопоказаниях.
Зачем нужны накладки для зубов?

- исправления неправильного прикуса;
- устранения промежутков между зубами;
- восстановления утраченной целостности зуба (нередко накладку устанавливают ребенку на передний зубик при его сколе в результате травмы);
- предотвращения разрушения жевательных единиц.
Итак, при помощи указанных ортодонтических приспособлений не только решается проблема красоты улыбки, но и устраняются различные дефекты зубного ряда. При установке накладок учитываются индивидуальные особенности каждого пациента, необходимость назначения и противопоказания к их применению.
Виды накладок
Современная стоматология предлагает много видов накладок на зубы. К наиболее популярным их разновидностям относятся:
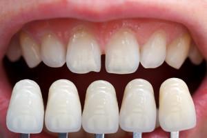
- Виниры (рекомендуем прочитать: ). Это пластины толщиной 0,6–0,7 мм, которые крепятся на переднюю поверхность зуба. Они изготавливаются из керамики либо других материалов и требуют предварительной обточки зубов. На фото ниже представлено, как выглядит эта конструкция.
- Люминиры. Представляют собой керамические пластинки толщиной не более 0,3 мм. При их установке не требуется обтачивание.
- Коронки. Устанавливаются, как правило, вместо пломбы либо при нарушении целостности зубов. Изготавливаются конструкции этого вида из различных материалов по желанию пациента.

Чем отличаются вставки от накладок?
Вставки в стоматологии применяются для восстановления эстетических и функциональных свойств единицы зубного ряда. Они служат альтернативой пломбам при обширном разрушении зуба. Зачастую эти конструкции устанавливаются на жевательные единицы.
Накладки, как правило, используются для устранения дефектов нескольких зубов либо всего ряда. С их помощью практически каждый может в кратчайшие сроки стать обладателем идеально ровных и белых зубов.
Показания для установки
Использование накладных конструкций имеет ряд показаний. Они применяются в ортопедических целях, когда на зубах присутствуют дефекты, а также для усовершенствования улыбки.
Чаще всего накладные протезы выполняют эстетические задачи. Эти конструкции популярны среди людей, чья деятельность связана с выступлениями на публике.
В ортопедических целях
Накладные протезы помогают решить многие ортопедические проблемы. К ним относятся:
- заболевание флюорозом;
- неправильный прикус;
- эрозийные процессы на поверхности зубов;
- высокая истираемость зубной эмали.
Если после лечения глубокого кариеса образовалась большая полость, для ее заполнения используются накладки. Этот способ является более предпочтительным по сравнению с обычной пломбой.
В эстетических целях
Для придания совершенства улыбке в эстетической стоматологии применяются различные виды накладок. Они помогают устранить следующие видимые дефекты зубов:
- изменение цвета и образование пятен на эмали;
- нарушение целостности коронок (трещины, сколы);
- диастемы (щербинки);
- аномалия физиологической формы одной либо нескольких единиц зубного ряда;
- изменение цвета видимой при разговоре или смехе пломбы.
Как правило, реставрации подвергаются передние резцы, поскольку они хорошо видны, когда человек улыбается. Публичные люди часто используют накладные зубы для выступлений. Такие временные конструкции называются грилзами и представляют собой съемные клипсы, украшенные стразами либо драгоценными камнями.
Возможные противопоказания
К противопоказаниям к использованию накладок относится в первую очередь индивидуальная непереносимость материалов, из которых они изготавливаются. При бруксизме (скрежете зубами во время сна) и патологическом их разрушении данный метод реставрации не применяется. Относительным противопоказанием к использованию накладок является привычка грызть ногти.
Способы установки
Реставрация зубов при помощи накладных протезов требует определенного времени. Накладки устанавливаются на свои зубы, либо старые коронки заменяются на так называемые вкладки. В обоих случаях врач на первичном приеме производит осмотр ротовой полости пациента.
Перед установкой в обязательном порядке излечиваются все пораженные кариесом и другими заболеваниями зубы, устраняется налет, зубной камень и воспаления десневых тканей. После этого при отсутствии противопоказаний стоматолог приступает к изготовлению зубных конструкций.
На свои зубы
На первой консультации врач рассказывает пациенту о разновидностях эстетической коррекции и объясняет, какой вид накладок предпочтительнее использовать в конкретном случае. Также специалист помогает определиться с материалом.
Далее делается слепок зубов пациента, на основании которого в лаборатории изготавливается гипсовая модель. С ее помощью конструируются накладки с послойным нанесением материала либо методом литья под давлением. После изготовления внутренняя поверхность конструкции обрабатывается для более плотного ее прилегания к зубу. При необходимости стоматолог производит предварительное обтачивание зубной эмали. Процедура установки осуществляется под обезболиванием местного действия.
На период изготовления постоянных конструкций пациенту устанавливаются временные пластмассовые протезы. Фиксируются готовые пластинки с помощью специального стоматологического цемента. Сначала врач снимает временные зубы, очищает и высушивает зубную поверхность. Внутренняя сторона устанавливаемых наклеек шероховатая, за счет чего происходит ее максимально крепкое сцепление с натуральной коронкой. После фиксации виниров пациенту необходимо поговорить, посмеяться, совершить жевательные движения, убедившись в том, что конструкция установлена прочно и не доставляет неприятных ощущений.
Замена коронок на накладки
Наиболее распространенной проблемой при установке накладок на зубы вместо коронок является сильное разрушение опорных зубов из-за длительного ношения старых конструкций, в результате чего зубы под ними портятся и развивается кариес. Лечение кариозных образований и устранение гранулем, кист и воспалений способно отодвинуть этап установки накладок на 1,5–2 месяца.
Правильная фиксация коронки подразумевает определенную обработку зуба. Изготовленные по индивидуальным параметрам конструкции должны плотно обхватывать зуб и заходить под десну таким образом, чтобы он был полностью изолирован от внешней среды. Для этого при его обработке оставляется специальное поддесневое пространство. В противном случае установленная конструкция будет давить на десну, она воспалится и станет источать гнилостный запах.
Сколько они служат?
Продолжительность службы накладок зависит от материала, из которого они изготовлены, и условий эксплуатации.
Виниловые виниры служат 5–8 лет. Конструкции из металла и керамики могут использоваться около 10 лет, а при бережном отношении они способны прослужить свыше 15 лет (см. также: ). Тонкие люминиры могут сохранять прочность и эстетический вид до 20 лет. По окончании этих сроков следует обратиться к стоматологу для повторной установки конструкций.
Уход в домашних условиях
Особого ухода эти ортодонтические конструкции не требуют. При их чистке в домашних условиях необходимо использовать щетку с мягкой щетиной. Стоматологи рекомендуют после установки накладок исключить из меню любые продукты, способные окрашивать эмаль, например, кофе и красное вино. Также необходимо отказаться от табакокурения.
Поделитесь с друьями!