Гнилые зубы – это не только причина неприятного запаха изо рта. Процесс гниения в ротовой полости может привести к потере пораженной зубной единицы, заражению соседних зубов и развитию патологий внутренних органов. Чтобы этого не произошло, нужно вовремя распознать симптомы указанного явления и принять меры к его устранению. Каждому, кто заботится о здоровье не только полости рта, но и всего организма, необходимо знать, как предупредить гниение зубов и что будет, если игнорировать признаки этого процесса.
Причины гниения зубов

- пренебрежение регулярной чисткой зубов;
- вредные привычки в виде табакокурения, злоупотребления спиртными напитками и наркотиками;
- скудный рацион, приводящий к дефициту необходимых организму микроэлементов;
- чрезмерное употребление сладких и сдобных продуктов.
Наряду с этим существуют внутренние причины. К ним принято относить:
- стоматологические заболевания;
- ослабление защитных сил организма;
- патологии внутренних органов;
- генетическую предрасположенность;
- беременность;
- проживание в экологически неблагоприятных условиях.
Зубы мудрости часто подвержены гниению. Объясняется это тем, что «восьмерки» из-за нахождения в труднодоступном месте крайне сложно очищать от налета, который со временем провоцирует развитие кариеса. В случае игнорирования кариозных поражений зуб мудрости начинает разлагаться.
Признаки и этапы разрушения зубов

- На первом этапе отсутствуют какие-либо болезненные ощущения. В результате скопления налета возникает гнилостный запах изо рта.
- Через определенное время эмаль приобретает желтый или коричневый оттенок, на ее поверхности появляются темные пятна.
- Для следующего этапа характерным является усиление разрушительного процесса и образование в области шейки зуба черных участков различной площади. Однако на гнилом корне зуба они не будут заметными, поскольку разрушение происходит под десной. Обнаружить их можно лишь с помощью рентгенографии.
- В случае отсутствия лечения начинают гнить твердые ткани. Постепенно в зубе образуется дырка, которая со временем будет только разрастаться (рекомендуем прочитать: ). Этот этап сопровождается болезненными ощущениями.
- Далее гниль поражает внутреннюю часть зуба – пульпу. При этом появляются невыносимые боли, свидетельствующие о необратимом отмирании нервных окончаний. Некоторые пациенты даже в такой ситуации считают, что ничего страшного не происходит, и пытаются купировать болезненные ощущения с помощью обезболивающих препаратов и различных ополаскивателей.
- После развития некротического процесса боль в большинстве случаев затихает, но воспаление распространяется на корень зуба.
- Если единица разрушилась до момента обращения в стоматологическую клинику, хирургу придется удалять ее вместе с практически полностью сгнившим корнем.
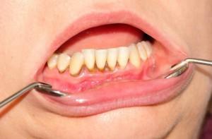
В тяжелых ситуациях зубной ряд становится кривым, зубы при этом представляют собой страшное зрелище – эмаль покрывается пятнами, их основание приобретает черный оттенок, а пораженные единицы окрашиваются в желто-коричневый цвет. Кроме физиологических проблем пациент начинает испытывать и психологические трудности, особенно если процесс гниения затронул передние единицы, которые видны во время разговора или смеха. Пораженные гнилью зубы приходится прятать за сомкнутыми губами.
Можно ли вылечить гниющий зуб?
Если больная зубная единица сгнила не полностью, обращение к врачу поможет ее спасти. Чтобы понять, поддается ли она лечению, назначается рентгенологическое исследование, по результатам которого будет определена причина развития процесса гниения. Способ лечения определяется с учетом фактора, спровоцировавшего разрушение зуба.
Современная стоматология обладает большим количеством зубосохраняющих методик, основные виды которых подразделяются на консервативные и консервативно-хирургические. В первом случае сохранение разрушенной единицы не предусматривает вмешательства хирурга, восстановление корня осуществляется с помощью реставрации, в процессе которой применяются штифтовые конструкции, вкладки либо коронковые элементы.
Если на верхушке зубного корня имеется воспаление, в таком случае применяется консервативно-хирургический способ зубосохранения. Его резекция производится после предварительного пломбирования каналов. Эта процедура является несложной, в большинстве случаев она осуществляется под местной анестезией и длится не более получаса.
В определенных ситуациях при воспалении верхушки или основания зубного корня удается обойтись без хирургического вмешательства. В канал зуба на срок от 2–3 месяцев до 1–2 лет вводится противовоспалительный препарат, который позволяет восстановить костную ткань, окружающую верхушку зубного корня.
Если же гниение охватило значительную часть кости, врач, скорее всего, отдаст предпочтение консервативно-хирургическому методу в качестве единственного способа сохранения пораженной единицы либо для сокращения времени лечения до нескольких месяцев вместо 1–2 лет.
Радикальный способ – удаление
Удаление гнилого корня зуба осуществляется в тех случаях, когда не может быть применена ни одна из зубосохраняющих методик. Избежать удаления гнилого корня зуба не удастся при наличии:
- сложных переломов зубной единицы;
- острых воспалений тканей, окружающих гниющий корень;
- разрушения части коронки зуба, расположенной значительно ниже уровня десны;
- подвижности зубного корня третьей степени;
- аномального расположения пораженной единицы.
Что касается зубов мудрости, в большинстве случаев при поражении они подлежат удалению. Практически все «восьмерки» после прорезывания доставляют много проблем. Во-первых, неудобное расположение значительно затрудняет уход за ними, в результате чего на их поверхности скапливается налет, который провоцирует развитие кариеса и последующее гниение.
Во-вторых, зубы мудрости могут смещать зубной ряд, приводя к нарушению прикуса. В-третьих, при прорезывании они зачастую изнутри травмируют щеку, в результате чего она болит и кровоточит. Сохранять эти зубы имеет смысл лишь в том случае, когда возникает необходимость использования их в качестве опорных единиц при установке ортодонтических конструкций, применяемых в зубопротезировании.
Если зубы гниют у ребенка
Гнилые зубы встречаются не только у взрослых людей, малыши также подвержены этому явлению. У самых маленьких деток зубки зачастую гниют, даже не успев полностью сформироваться. В этом случае основными причинами разрушения является избыток сладостей в рационе ребенка и некачественная гигиена полости рта.
Если мать во время беременности неправильно питалась либо использовала определенные медикаментозные препараты, запрещенные беременным женщинам, велика вероятность того, что будущий малыш будет подвержен развитию гнилостных процессов в полости рта. Для маленьких пациентов характерным является стремительный переход разрушения зубов в тяжелую форму.
Если у малыша гниет молочный зубик, многие родители игнорируют это явление, полагая, что, поскольку речь идет о временной единице, ее утрата не вызовет какие-либо последствия. Это ошибочное мнение. При появлении гнили в зубике следует как можно раньше показать ребенка детскому стоматологу.При возможности специалист сохранит больную единицу, в противном случае она подлежит удалению, что исключит вероятность заражения соседних зубов и поражение десны.
Как предупредить патологию?
Специалисты рекомендуют придерживаться определенных правил, позволяющих предупредить появление гнилых единиц. К профилактическим мероприятиям относятся:
- Уменьшение употребления сладких и сдобных продуктов. Эта мера позволит значительно снизить вероятность развития кариозных поражений и дальнейшего разрушения зубов.
- Исключение из рациона газированных напитков с большим содержанием искусственных красителей и подсластителей.
- Полноценное питание. Регулярное употребление продуктов, богатых необходимыми организму микроэлементами, позволит избежать проблем с зубами. Наряду с этим нужно тщательно следить за тем, чтобы ежедневный рацион содержал достаточное количество основных строителей костной ткани – кальция и витамина D.
- Регулярное посещение кабинета стоматолога и своевременное устранение стоматологических проблем.
- Периодическая профессиональная чистка зубов.
- Тщательный уход за полостью рта с использованием качественной зубной пасты. При этом крайне важно не только регулярно очищать поверхность зубов, но и удалять из межзубных промежутков остатки пищи, устранять накопившийся на языке налет (рекомендуем прочитать: ). С этой целью рекомендуется применять специальные приспособления: зубные нити, зубочистки, ершики и ирригаторы.
- По возможности следует отказаться от таких вредных привычек, как табакокурение и злоупотребление спиртосодержащими напитками.
Особенное внимание здоровью полости рта следует уделять тем, кто находится в группе риска по предрасположенности к возникновению различных проблем с зубами. К ним относятся женщины в период вынашивания ребенка, пациенты, имеющие плохую наследственность, а также жители экологически неблагоприятных регионов.
У родителей малышей, зубки которых подвержены разрушению, возникает вопрос о том, что нужно делать для исключения этого явления. Специалисты рекомендуют использовать различные витаминно-минеральные комплексы, которые способствуют правильному развитию костной системы малыша. Перед тем как дать младенцу пустышку, некоторые родители или бабушки окунают ее в мед, варенье или сгущенное молоко. Этого делать категорически нельзя.
Наряду с этим следует значительно ограничить употребление ребенком сладостей, особенно тех, что содержат большое количество красителей и различных добавок искусственного происхождения. Важной профилактической мерой является своевременное приучение малыша к регулярной чистке зубов. Первое время следует контролировать этот процесс.
Хотя бы пару раз в месяц родители должны осматривать ротовую полость детей. В случае обнаружения черных точек на эмали малыша нужно немедленно показать врачу. Эффективным способом защиты детских зубок от возникновения кариеса и его последствий являются такие процедуры, как фторирование и реминерализация. Кроме того, ребятишки должны регулярно посещать стоматолога с целью осуществления профилактического осмотра. Неукоснительное соблюдение указанных правил как взрослыми, так и детьми убережет их зубы от развития гнилостных процессов и предотвратит возможное удаление больной единицы.
Что будет, если оставить все как есть?
Любые патологические процессы, протекающие в полости рта, при отсутствии лечения провоцируют развитие заболеваний внутренних органов. Игнорирование появления гнили может привести к:
- постепенному поражению всех единиц зубного ряда;
- активизации у детей наследственной предрасположенности к разрушению зубов;
- полной потере аппетита;
- сбоям в работе сердечно-сосудистой системы;
- развитию эндокринных заболеваний;
- поражению почек;
- разрушению костной ткани и нарушению функций опорно-двигательного аппарата;
- попаданию в организм болезнетворных микроорганизмов, провоцирующих развитие тяжелых патологий внутренних органов;
- выпадению волос с затылочной либо височной области – при поражении единиц жевательной группы;
- частым приступам головной боли и развитию эндокардита – при разрушении зубов у основания корня.
Наряду с этим гнилостный запах изо рта может приводить к социальной изоляции пациента, что неизбежно скажется на его психическом состоянии. Во избежание указанных последствий игнорирования процесса гниения в полости рта необходимо тщательно следить не только за здоровьем зубов и десен, но и за состоянием организма в целом, а также образом жизни.
Поделитесь с друьями!