У человека здоровые десны имеют светло-розовый оттенок и ровные контуры. Если же на десне появляется наддесневик, то это говорит о патологии. Такое состояние нельзя оставлять без внимания, так как доброкачественное новообразование может переродиться в раковую опухоль.
Как правило, нарост на десне – это эпулис (возникший в результате травмирования слизистой) или киста, заполненная гноем. При повреждении капсулы гнойные массы изливаются, при этом инфекция может распространиться по всему организму.
Что это такое?

Нередко пациент с эпулисом испытывает головные боли, его общее состояние постепенно ухудшается. Инфекция приводит к увеличению лимфатических узлов, расположенных вблизи наддесневика.
Плотный десневой отросток появляется в независимости от возраста, он может формироваться как у ребенка, так и у взрослого. Обычно к этому состоянию приводит инфекция, которая проникает сквозь небольшие ранки или царапины на слизистых оболочках ротовой полости.
Виды наростов на десне
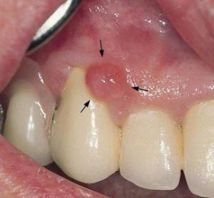
Новообразование внешне представляет собой вышедший за пределы десневого края участок. Вначале возникает воспаление десен, затем воспалительный процесс приводит к уплотнению и увеличению размеров участка десневой ткани. Иногда эпулис выглядит, как небольшая опухоль или бородавка красного и розового оттенка (см. также: ). Всего существует несколько видов десневых наростов, которые классифицируют следующим образом:
Ангиоматозный. Шероховатый нарост красного цвета, который часто кровит при надавливании. Новообразование быстро разрастается, велика вероятность рецидива после удаления.
- Фиброзный. Визуально схож со здоровой десной, так как имеет плотную структуру и естественный здоровый цвет. Характеризуется медленным ростом. Не вызывает никакого дискомфорта, боли нет даже при надавливании.
- Гигантоклеточный. Новообразование с неровной бугристой поверхностью сильно контрастирует со здоровыми слизистыми (смотрите на фото). Эпулис обычно ярко-красного цвета или имеет синюшный оттенок. Любая травма может спровоцировать сильное кровотечение. Часто подобные образования перерождаются в раковую опухоль. С подобной патологией чаще сталкиваются люди в возрасте 40–60 лет.
- Акантоматозный. Относится к числу доброкачественных опухолей, встречается редко. На десне безболезненный нарост формируется в виде роговых жемчужин. После удаления высок риск рецидива.
Причины появления отростка на десне
Обычно эпулис формируется на деснах верхней челюсти, лишь в 30% случаев он появляется на слизистых нижней челюсти. Нередко шишка во рту доставляет больному массу неудобств (рекомендуем прочитать: ). Болезненный нарост мешает принимать пищу и разговаривать, но бывают случаи, когда медленно растущий наддесневник не доставляет человеку никакого дискомфорта.
Единственная причина, по которой на десне начинает расти эпулис – это инфекция. Гнилостные бактерии проникают в мягкие ткани, где начинают активно размножаться.
К числу предрасполагающих факторов относят:
- несоблюдение правил гигиены рта;
- неправильный прикус;
- нарушения работы зубочелюстной системы;
- наследственность;
- ошибка врача при проведении стоматологического лечения;
- удаление зуба;
- травма;
- заболевания органов пищеварения;
- хронические болезни;
- периодонтит;
- алкогольная и никотиновая зависимость.
Наросты у детей
Наросты у детей встречаются довольно часто. Обычно этому предшествует травма ротовой полости. Чаще всего слизистая травмируется у детей младшего возраста, которые только начинают познавать мир, пробуя все на вкус. Если десна была травмирована механическим путем, а в результате образовалась гематома, в этом нет ничего страшного. Кровяная шишечка постепенно рассосется и вскоре исчезнет без следа.
При прорезывании постоянных зубных единиц, родители нередко обращают внимание, что около молочного зуба появился твердый белый нарост на десне у ребенка. Это не что иное, как новая коронка, которая стремится занять свое место. В этом случае специалисты рекомендует не медлить с удалением молочного зуба, иначе прикус ребенка будет формироваться неправильно (см. также: ).
Обратиться за помощью к стоматологу нужно и в том случае, когда формирование белого наддесневика у ребенка сопровождается неприятным запахом изо рта. Такие симптомы характерны для кистозных образований, которые необходимо удалять хирургическим путем, не дожидаясь осложнений. Кисты отличаются быстрым ростом, они могут достигать в диаметре более 1 см.
Самой распространенной причиной появления нароста у ребенка является кариес. Многие дети не соблюдают правила гигиены ротовой полости. Кариозные процессы приводят к возникновению пульпита и развитию воспаления, которое впоследствии выходит за пределы зуба. Именно поэтому наросты чаще всего располагаются рядом с больным или запломбированным зубом.
Лечение
В независимости от локализации нароста, отсутствия или наличия неприятных симптомов, лечение должен проводить квалифицированный специалист. Для определения вида кистозного новообразования используются различные диагностические методы. Чаще пациента отправляют на рентгенологическое обследование. Если есть подозрение на злокачественную природу нароста, взятые ткани отправляют на гистологию.
Любое заболевание лучше поддается лечению на начальных стадиях. До недавнего времени врачи удаляли кисту вместе с зубом. На сегодняшний день разработаны более щадящие методы удаления новообразований.
Вначале врач санирует полость рта, затем приступает к иссечению пораженных тканей. Во время операции удается сохранить зуб, если корни оголены менее, чем на 2/3 длины, подвижность коронки не достигает 3 степени. Рана обрабатывается антисептическими средствами. После удаления эпулиса пациенту предстоит пройти длительный курс лечения с использованием противовоспалительных препаратов и антибиотиков.
Чтобы минимизировать риск послеоперационных осложнений, кистозную полость необходимо тщательно промыть. Если рана большая – накладываются швы. При необходимости назначаются препараты для восстановления костной ткани.
Можно ли лечить в домашних условиях?
Многие люди, заметив у себя во рту новообразования, стараются самостоятельно лечить его. В домашних условиях удалить наддесневик без серьезных последствий для здоровья невозможно. Средства народной медицины могут рассматриваться лишь в качестве дополнения к традиционным методам лечения. Народные рецепты помогут быстрее восстановиться после операции.
- Особой популярностью в народе пользуются полоскания солевыми растворами. Для этого в 1 л теплой кипяченой воды растворяют 4 ст. л. соли. Проводя эту процедуру, пациент дезинфицирует ротовую полость.
- Побороть инфекцию помогают спиртовые настойки на травах. Обычно для лечения эпулиса используют: календулу, ромашку, шалфей, эвкалипт и пр. Многие полощут рот водкой.
- Снять воспаление и облегчить боль смогут и травяные отвары. Сухую измельченную траву запаривают в кипятке и настаивают в течение получаса. Затем отвар процеживают и используют для полоскания.
- Чеснок известен своими бактерицидными свойствами, это растение борется с патогенными микроорганизмами не хуже аптечных препаратов. Чтобы приготовить чесночную настойку нужно почистить, а затем растолочь 4 головки чеснока. Также необходимо мелко нарезать 5 лимонов и добавить к чесноку. Полученную смесь залить 700 мл алкоголя, настаивать 5 суток.
- Схожим действием обладает настойка хрена, с ее помощью удается быстро снять воспаление. Чтобы приготовить лекарство, нужно натереть 300 гр корня на терке, а затем залить 500 мл алкоголя. Настаивать 3 суток. После полосканий эффект заметен уже на вторые сутки.
- Листья каланхоэ можно жевать в свежем виде. Также можно делать примочки, нанося ватку пропитанную соком растения на воспаленную область. Каланхоэ обладает дезинфицирующим, ранозаживляющим и кровоостанавливающим свойством.
- Мед, смешанный с солью, не только снимает воспаление и боль, но и обеззараживает ротовую полость. Чтобы приготовить лекарство, нужно смешать 2 ст. л. меда с 1 ст. л. соли.
Возможные осложнения
Если пустить заболевание на самотек, то вскоре нарост увеличится в размерах. Рано или поздно наддесневик начнет беспокоить, появится боль, кровотечения станут носить постоянный характер. Большая киста может в любой момент переродиться в злокачественную опухоль.
Растущий эпулис может приводит к ряду серьезных осложнений, среди которых:
- заболевания десен (гингивит, пародонтит, периостит и пр.);
- лимфаденит;
- зубные болезни (кариес, гиперстезия и пр.);
- разнос инфекции по всему организму.
Опасность кистозного образования заключается в том, что при отсутствии лечения инфекция может распространяться, поражая десны, кости, лимфатическую систему и даже мозг. Порой даже после оказанной медицинской помощи возникают осложнения: после удаления опухоли открываются кровотечения, нагнаивается рана или возникает отек.
Поделитесь с друьями!
Ангиоматозный. Шероховатый нарост красного цвета, который часто кровит при надавливании. Новообразование быстро разрастается, велика вероятность рецидива после удаления.