Красивая и белоснежная улыбка притягивает, но не каждый человек может ею похвастаться. Многие с течением времени теряют привлекательность улыбки, так как существует много факторов, влияющих на цвет зуба. Пигментация возникает под действием вредных привычек, неправильного питания, травм.
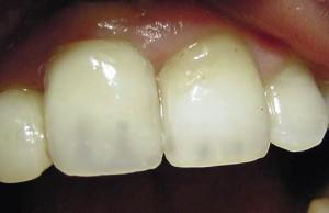
К изменениям в цвете ведет вмешательство в корневую систему зуба. Возникает проблема за счет отсутствия питания зуба через пульпу. Возможно окрашивание тканей материалами для пломбировки корневых каналов. На фото хорошо видны изменения в тканях и в цвете. На сегодняшний день проблема пигментации, или дисколорита, находится не на последнем месте среди заболеваний и проблем полости рта.
Окрашивание зубов: описание явления

Внутренний слой зуба – дентин. Он плотный и не такой прозрачный, как эмаль (см. также: ). Оттенок дентина влияет на вид зуба, так как просвечивает через эмаль. В пористой структуре этих тканей и состоит главная причина пигментации зубов, ведь можно тщательно чистить полость рта, а сильные красители проникнут вглубь, и в будущем появится некрасивый оттенок.
Причины пигментации
На окрашивание зубов влияет множество факторов, как внешних, так и внутренних. Невозможно без сбора анамнеза определить причину нарушения цвета зубных единиц. После визуального осмотра, опроса пациента о питании и образе жизни, при необходимости изучив рентгеновские снимки, врач-стоматолог выявит влияющие факторы. Каковы же основные причины пигментации зубов на поверхности эмали и внутри тканей зуба?
На поверхности эмали

Наиболее сильное влияние оказывают:
- Курение. Смолы способны не только оставить на зубном ряду плотный коричневый налет, но и проникают вглубь зуба. Сигареты сильно портят улыбку как внешне, так и изнутри. Пятна от смол плотно прилегают к эмали. Данный вид пигмента всегда сложно поддается очистке.
- Кофе. Любители данного напитка часто страдают от скопления налета на зубах. Микрочастицы бодрящего напитка хорошо цепляются за эмаль.
- Черный чай. Мощный краситель для эмали, по интенсивности практически не уступает пигментам кофе.
- Красное вино. Этот натуральный напиток при частом применении крепко оседает на эмали, окрашивая налет.
- Пренебрежение гигиеной. То забыли прополоскать полость рта, то не почистили зубы, не посетили стоматолога на плановую чистку – все это усугубляет ситуацию с каждым месяцем.
- Мало в рационе твердой пищи. Помочь своей улыбке можно, немного пожевав твердых яблок. Пища плотной консистенции при трении об эмаль дает хороший очищающий эффект.
Внутри тканей зуба
На цвет зуба влияет и оттенок дентина. Наиболее частые причины:
- Нарушения во внутриутробном развитии. Чаще такой эффект дает прием мамой тетрациклина во время беременности. Этот антибиотик накапливается еще в зачатках зубов, что ведет к изначально некрасивому цвету зуба.
- Депульпированный зуб. Пломбировка канала приводит к тому, что мертвая ткань зуба не получает питание и приобретает сероватый оттенок. К тому же некоторые препараты для пломбировки корневых каналов способны со временем проникать в ткани зуба и изменять его структуру и цвет (например резорцин) (рекомендуем прочитать: ).
- Переизбыток или недостаток фтора в организме. Встречается недостаточное количество данного элемента из-за малого потребления фторированной воды. На зубах могут быть белые пятна как следствие недостатка микроэлементов в организме человека.
- Возраст. С годами эмаль имеет свойство истончаться, что ведет к желтому оттенку.
Выявление причин изменения цвета зубов
Для постановки диагноза пигментации зубов и выявления истинных причин необходимо посетить врача-стоматолога.Существует ряд исследований для изучения характера и степени дисколорита. Рассмотрим основные:
- Визуальный осмотр. В первую очередь стоматолог осмотрит пигментные пятна. Иногда этого бывает достаточно, так как опытный специалист поймет, налет это или внутренние нарушения в тканях зуба.
- Анализ крови. Процедура выявит недостаток или избыток важных микроэлементов в организме.
- Реодентография. Метод показывает глубину поражения ткани.
- Микроскопическое исследование. Справляется с диагностикой дисколорита эмали на ранней стадии развития.
Как избавиться от налета и пятен?
Главный этап на пути к здоровой улыбке – санация полости рта. На приеме у стоматолога проводится профессиональная чистка, пигментация зубов как следствие образования камня хорошо убирается при помощи ультразвука и абразивных паст.
При глубоком изменении цвета из-за красителей можно прибегнуть к профессиональному отбеливанию. Эффект от процедуры носит временный характер, если не поддерживать надлежащую гигиену и не отказываться от вредных привычек.
При тяжелых случаях пигментации можно прибегнуть к помощи коронок или виниров. Такой метод будет долговечным и надежным. После консультации с врачом-ортопедом подбирается приемлемый вариант (рекомендуем прочитать: ). К сожалению, наиболее приближенные по внешнему виду к зубной эмали материалы протезов стоят недешево, а виниры устанавливают не всем.
Не стоит пытатся самостоятельно решить проблему дисколорита. Вмешательство в структуру эмали и дентина может повлечь за собой необратимые процессы. Лучшим вариантом будет обратиться к специалисту, получить грамотную консультацию и прийти к верному решению проблемы. Путь к красивой улыбке не всегда прост, но постоянный уход за полостью рта, плановое посещение стоматолога, правильный режим питания приведет к хорошему результату.
Поделитесь с друьями!