Прорезывание зубов мудрости – болезненный и долгий процесс, во время которого часто опухает и воспаляется десна. Это связано с тем, что рост «восьмерок» начинается в том возрасте, когда костные ткани полностью сформированы, и новым молярам недостаточно места для роста. Из-за зубов мудрости может травмироваться язык и начаться разрушение соседних единиц. Именно по этой причине стоматологи нередко рекомендуют удалять «восьмерки».
Боль после удаления зуба: норма или отклонение?

- простое удаление;
- сложное удаление.
Первый метод применяется, когда зуб цел, его корни не переплетены друг с другом, отсутствуют другие заболевания полости рта. Тогда процедура удаления не вызовет затруднений, а риск развития осложнений минимален. Достаточно, чтобы врач качественно выдернул зуб, а пациент соблюдал рекомендации после процедуры.
Для удаления «восьмерки» применяют щипцы или элеватор. Зуб постепенно раскачивают и вырывают из десны. При этом травмируются периодонтальные связки соседних моляров, разрываются их мягкие ткани и нервные окончания. Из-за этого болевые ощущения после процедуры считаются нормой.
Второй метод применяется в следующих случаях:
- прорезывание зуба горизонтально или под большим углом;
- перикоронит;
- сильное разрушение коронки;
- переплетенная корневая система.
При наличии перечисленных условий назначается проведение операции. Процедура включает в себя:
- разрез десны;
- распил зуба с помощью бормашины;
- высверливание костей;
- наложение шва на десну.
После сложной экстракции «восьмерки», спустя 2–3 часа, возникают сильные болевые ощущения (поначалу еще действует анестезия). Нередко опухает щека и поднимается температура тела. Если симптомы сохраняются на протяжении недели, но день за днем днем чувствуется облегчение боли, значит, процесс заживления идет правильно.
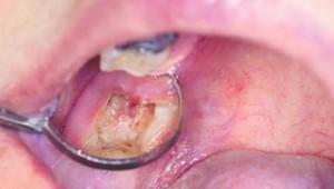
Болит лунка, в том числе при надавливании

Факторы, влияющие на появление нагноения:
- в ранке остались частицы зубных тканей;
- кариес на соседних молярах;
- воспаление в ротовой полости.
При обнаружении данных симптомов нужно посоветоваться со стоматологом. Неотложная помощь требуется при повышении температуры тела, появлении боли в ухе и отеке.
Еще одна причина боли в лунке – периостит. Он возникает из-за некачественной обработки инструментов, а также если в ране остались частички зуба. При этом сильно болят десны, появляется отечность и поднимается температура тела.
Если не оказать своевременную помощь при возникновении признаков периостита, он перерастает в более серьезное заболевание, которое называется остеомиелит. К перечисленным симптомам добавляются головная боль, тошнота. При периостите нужна госпитализация.
Боль в челюсти
Экстракция – болезненная процедура, она проходит намного сложнее, если удаляют зуб мудрости. Причины возникновения болевых ощущений в челюсти:
- в процессе проведения процедуры травмируются сосуды и связки, нарушается целостность нервных окончаний и мягких тканей, поддерживающих соседние моляры;
- во время удаления «восьмерки» челюсть подвергалась сильному давлению из-за затрудненного доступа к зубу.
Пациент может чувствовать боль и неприятные ощущения также из-за того, что рот долгое время приходилось держать открытым. В результате связки попросту «устали», и человеку больно из-за перенесенного перенапряжения.
Больно глотать
Нередко после экстракции «восьмерки» начинает болеть горло. Особенно часто боль возникает после удаления зуба мудрости на нижней челюсти (рекомендуем прочитать: ). Это связано с близостью к месту удаления зуба тройничного нерва.
Причины, из-за которых болит в горле:
- Во время операции задет тройничный нерв, увеличилось слюноотделение.
- Осложнения после рассечения десны во время сложного удаления. Появляется отечность десны и щеки, из-за этого становится больно глотать.
- Начавшийся в десне воспалительный процесс перешел на мягкие ткани и область горла.
- Длительная операция. Пациент долгое время держал рот открытым, поэтому слизистые пересохли и появилось першение.
Если во время проведения операции произошло травмирование мягких тканей и нервных окончаний, боль при глотании сохраняется около двух недель.
К этой боли может добавиться:
- отек десны и щеки;
- дискомфорт в челюсти;
- повышение температуры тела;
- кровотечение в лунке.
При возникновении данных симптомов необходимо посетить врача для консультации. Своевременно оказанная помощь снизит риск развития серьезных осложнений.
Виды боли
- Постоянная, начинающаяся сразу после окончания действия анестезии. Она может сохраняться двое суток и носить ноющий характер. Снять неприятные ощущения помогут анальгетики.
- Часто после экстракции зуба мудрости начинается воспаление, вследствие которого появляется отечность мягких тканей рядом с моляром. Иногда отечность увеличивается спустя двое суток после экстракции. Для снижения отека можно использовать охлаждающий компресс, а вот нагревать щеку нельзя.
- Боль при открывании рта, которая возникает из-за травмирования жевательных мышц. Болевые ощущения уменьшаются спустя 3 дня после процедуры.
- В области щеки появляется синяк, который болит. Он появляется вследствие физического давления при вырывании восьмерки. Гематома исчезает через 4–5 дней.
Постоянная
Постоянная боль после удаления зуба мудрости чаще всего носит ноющий характер (см. также: ). Болевые ощущения мешают нормальной жизни. Насколько долго будет мучить боль, зависит от процедуры. Чаще всего она стихает через 2–3 дня, это время нужно перетерпеть.
Если болевые ощущения становятся нестерпимыми, можно принять анальгетик или облегчить состояние холодным компрессом, наложив его на наружную сторону щеки. Действие компресса должно быть именно охлаждающим, так как согревающие процедуры могут усугубить ситуацию. Для этого компресс необходимо периодически менять, делая перерывы между накладыванием.
Почему возникает постоянная боль (рекомендуем прочитать: )? Причиной могут быть:
- реакция на хирургическое вмешательство;
- альвеолит;
- нагноение в лунке без кровяного сгустка.
Когда постоянные болевые ощущения сохраняются больше двух дней после экстракции, необходим осмотр стоматолога. Он выявит возможные осложнения и назначит необходимые препараты для устранения воспаления и снятия боли.
Пульсирующая
Сильные пульсирующие болевые ощущения возникают на фоне:
- Некачественного лечения. Врач может совершить ошибку, плохо удалить корень, оставить в ранке частички зуба.
- Альвеолита. Это воспаление, которое начинается из-за попадания инфекции в рану. Инфицирование может возникнуть вследствие «пустой» лунки, когда не образовывается сгусток крови или он отодвинут. В открытую рану легко попадают бактерии, а влажная теплая среда способствует их быстрому размножению.
- Неврита тройничного нерва. При неврите не бывает отечности и покраснения десен, их состояние не изменяется. Болевые ощущения возникают периодически, резко и распространяются на область висков, шеи и глаза. Чаще всего неврит тройничного нерва возникает при экстракции «восьмерки» на нижней челюсти. Это связано с тем, что ответвление нерва располагается близко к удаляемому моляру, его легко повредить при проведении процедуры.
- неприятный запах изо рта;
- сильный отек десны или щеки (подробнее в статье: );
- повышение температуры тела выше 38 градусов;
- нагноение в лунке;
- распространение боли на шею и глаза.
Как долго присутствуют болевые ощущения?
Если удалили зуб мудрости, сколько будет болеть рана, зависит от скорости заживления лунки. Этапы заживления раны после удаления зуба:
- наполнение лунки кровяным сгустком;
- формирование грануляционной ткани;
- заполнение тканью верхней части ранки;
- формирование костной ткани в лунке;
- рассасывание краев раны.
Весь процесс занимает 2–3 месяца. Это время необходимо для образования полноценной костной ткани и заполнения ею образовавшейся лунки.
Если во время процедуры приходится делать разрез на десне, накладывают шов, который ускоряет процесс соединения десневой ткани. По этой причине разрез не влияет на скорость заживления лунки, она затягивается, как и при простом методе удаления. Состояние иммунной системы и степень воспалительного процесса напрямую влияют на то, сколько будет болеть десна.
При удалении зуба мудрости, который не прорезался или прорезался частично, заживление будет происходить значительно медленнее (подробнее в статье: ). Это объясняется тем, что данная процедура предусматривает распиливание корней и уменьшение объема кости. Полное заживление происходит после воссоздания костной ткани.
Любое удаление зуба происходит с применением обезболивающих препаратов, поэтому болевые ощущения становятся заметны спустя 2–3 часа после процедуры. Из-за повреждения тканей боль может сохраняться на протяжении нескольких дней. Главный критерий правильного заживления – уменьшение боли с каждым днем. Если зуб вырвали сложным методом, болевые ощущения могут перейти на соседние моляры, горло, ухо и голову. Присутствовать они могут до семи дней.
Как снизить болевой синдром?
Боли может быть уменьшена благодаря выполнению следующих рекомендаций:
- Отказаться от еды и питья на 3 часа после проведения процедуры. При экстракции «восьмерки» нижнего ряда действие обезболивающего препарата длится несколько часов, поэтому при приеме пищи можно прикусить щеку, что усилит болевые ощущения впоследствии. К тому же в свежую рану могут попасть кусочки пищи и вызвать воспаление.
- Не полоскать полость рта без рекомендации врача. Манипуляции травяными отварами и антисептиками могут смыть кровяной сгусток. При отсутствии сгустка процесс заживления затянется, так как грануляционная ткань будет образовываться медленнее. Кроме того есть риск занести инфекцию в открытую рану. Это усилит болевые ощущения и затянет процесс заживления.
- Исключить горячую, острую и твердую пищу на первые 2 дня после удаления. Она легко травмирует воспаленную десну.
- На 2–3 дня исключить физические нагрузки и поход в бассейн и баню. Данные действия увеличивают риск возникновения кровотечения и время заживления раны.
- Проявить осторожность при чистке других зубов.
- Не трогать место удаления зуба языком и руками.
Поделитесь с друьями!