Изменение цвета поверхности зубов у взрослых и детей не является редкостью. Это длительный процесс, который может происходить на протяжении нескольких лет. Если не делать профессиональную чистку ротовой полости, не принимать профилактические меры и пренебрегать лечением, то темные пятна появятся гораздо быстрее.
Потемнение эмали снаружи

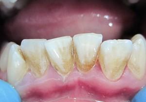
О том, что зубы необходимо чистить два раза в день, знают и взрослые и дети, но и те и другие пренебрегают этим простым правилом, чего нельзя допускать, так как это приводит к быстрому образованию налета на поверхности эмали, особенно у основания зубов. До начала процесса минерализации, когда налет твердеет и не поддается чистке щеткой, может пройти менее 16 часов.
Вначале отложения светлые, мягкие и легко убираются при помощи зубной щетки. Потом их слой утолщается, приобретает серый оттенок, образуется твердый минерализованный налет. Под отложениями продолжают развиваться бактерии, повреждая твердые ткани и вызывая появление кариеса, причиняющего непоправимый вред здоровью не только коронке, но и корню.
Зубы курильщика

Продукты с красящими веществами
Меняется цвет коронки и от частого употребления в пищу красящих продуктов. Безобидная ежедневная чашечка натурального кофе или кружка крепкого чая может стать причиной изменения цвета эмали. Темный налет, остающийся на любимой чашке, так же быстро оседает на зубах. При недостаточной гигиене ротовой полости ситуация усугубляется, и отложения слой за слоем накапливаются, скрывая природный белый цвет эмали.
К красящим продуктам также относятся:
- красное вино и виноградный сок;
- свекла;
- отвары ромашки и коры дуба;
- продовольственные товары с добавлением искусственных красителей;
- свежая или консервированная черника, черная смородина;
- какао и шоколад.
Зубы людей, работающих на металлообрабатывающих или металлургических предприятиях и проживающих в промышленных загрязненных районах, также подвержены потемнению. Частички металла, витающие в воздухе, подобно сигаретным смолам налипают на поверхность эмали, окрашивая ее в черный цвет.
Если зуб почернел изнутри
Не всегда чернеют зубы от внешних факторов, причина, от которой они потемнели, может крыться глубоко внутри.Наиболее часто потемнение вызывают такие проблемы:
- перенесенная травма зуба;
- отмирание пульпы;
- кариозные повреждения;
- некачественно поставленная пломба;
- попадание частичек олова или серебра;
- установка штифтов из металла;
- некоторые заболевания внутренних органов;
- прием некоторых лекарств;
- патогенные микроорганизмы и грибок.
Развитие кариеса
Кариозные повреждения могут образовываться не только на зубной поверхности, но и с внутренней стороны, под пломбой. В таком случае наступает полное окрашивание тканей изнутри, а снаружи зуб будет выглядеть черным с легкой синевой.
Кариес, образовавшийся под пломбой, может долгое время оставаться незаметным. Если нервные окончания в зубе здоровы, то разрушительный процесс будет сопровождаться болевыми ощущениями, что заставит пациента посетить стоматологический кабинет. Если же нерв был удален, единица может разрушаться под пломбой совершенно безболезненно.
Вторичный кариес может развиться даже после квалифицированного лечения. Существует такая проблема, как усадка пломбы. Материал после полимеризации уменьшается в размерах, образуя микроскопические щели. В них остаются частички пищи, и начинается активное размножение пагубной микрофлоры, это приводит к постепенному разрушению единицы. Пациент при этом отмечает, что зуб почернел.
Отмирание травмированного зуба
Ушиб зуба – одна из распространенных причин изменения цвета его тканей. Это не влияет на костную или челюстную структуру. При ударе могут сильно пострадать ткани периодонта, отчего произойдут разрывы и кровоизлияния. Сильный ушиб сопровождается окрашиванием стенок зуба с внешней и обратной стороны, в травмированной части рвутся сосуды и нервные окончания, окрашивая зуб изнутри в розовый или черный цвет.
Влияние на ткани зуба лекарств
Некоторые лекарственные препараты могут изменить природный цвет коронки зуба на серый или коричневый внутри. Внешнее окрашивание эмали происходит из-за приема и разжевывания препаратов, содержащих железо. Такие средства часто назначают при анемии.
Бывает, что чернеет молочный или постоянный зуб еще в процессе формирования зачатка. Антибиотики тетрациклиновой группы часто назначаются врачами. Почему? Потому что они имеют широкий спектр действия и небольшое количество побочных эффектов. Одним из побочных действий препарата является потемнение эмали.
Если эмаль почернела по этой причине, то отбелить зуб невозможно. Это обычно связано с приемом антибактериального препарата матерью во время беременности или в период грудного вскармливания ребенка. Зубы при этом могут полностью посереть или же иметь черные полосы, пятна и вкрапления.
Окрашенная костная ткань зачастую не влияет на здоровье зуба, но нуждается в дополнительном укреплении фторлаком, чтобы избежать излишней потери микроэлементов. Отбелить такие почернения невозможно, для придания белизны улыбке врачи-стоматологи рекомендуют другие методы лечения, например установку виниров.
Отдельно следует выделить разрушительное влияние наркотических веществ. Они могут вызвать почернение зубов с последующим их полным выпадением.
Не стоматологические заболевания
Когда передний или коренной зуб меняет цвет внутри и даже чернеет, это может указывать на проблемы со здоровьем.Болезни внутренних органов человека нарушают обменные процессы в организме, что нередко приводит к почернению зубов. К ним относятся:
- болезни почек;
- гастрит и другие заболевания пищеварительной системы;
- вирусные инфекции;
- поражение печени;
- анемии различного происхождения;
- сбои в работе эндокринной системы;
- нарушение обмена веществ;
- заболевание селезенки;
- злокачественные опухоли;
- ВИЧ, СПИД и т. д.
Если потемнение зубов произошло у ребенка внезапно, это может свидетельствовать о наличии дисбактериоза. Такое состояние у малышей, не достигших трехлетнего возраста, проходит самостоятельно или при выпадении молочных зубов.
Генетическая предрасположенность
За природную белизну улыбки у человека отвечает генетика. Люди различных рас отличаются не только цветом кожи, но и оттенком зубной эмали. Некоторые получают от родителей белоснежную улыбку, а другим везет меньше, и вместе с набором хромосом им достаются неприглядные желтые зубы.
В таких случаях показанием к отбеливанию поверхности зуба служат лишь очень темные оттенки эмали, которые мешают нормальной жизни человека и его положению в социуме. В других случаях лечение противопоказано, так как может приводить к истощению тканей. Возможно не зря бытует мнение, что желтые зубы более прочные, чем белоснежные.
Несбалансированное питание и дефицит определенных веществ
Люди, предпочитающие быстрые перекусы полноценному приему пищи, более подвержены почернению зубов. Недостаток полезных микроэлементов и избыток углеводов в бутербродах и сладостях влияют на здоровье зубных единиц, а консерванты и красители способствую образованию налета, который чернеет со временем.
Флюороз – стоматологическое заболевание, приводящее к появлению пятен на поверхности единиц. Возникает болезнь вследствие попадания в организм человека большого количества фтора из окружающей среды. Такое может случиться от некачественной питьевой воды или загрязненного воздуха. Также недуг может возникнуть при чрезмерном увлечении лечебными зубными пастами со фтором, который, безусловно, полезен для зубов, но в разумных количествах.
Отложение бактериального налета и изменение его цвета снаружи – показание к стоматологической чистке и отбеливанию зубов. Среди методов лечения наиболее популярными считаются обработка ультразвуком, профессиональными чистящими пастами, абразивным раствором при помощи ирригатора или лазером.
Если потемнел зуб мудрости, отбеливать его не стоит. Такая косметическая проблема не несет угрозы лучезарной улыбке, но если он болит, стоит задуматься о его удалении.
Почернение зуба из-за пломбы
Потемнение эмали и изменение цвета зуба после пломбирования может произойти по нескольким причинам. Наиболее распространенными из них являются:
- потемнение пломбы от попадания красящих веществ с пищей, особенно это касается передних резцов;
- окрашивание запломбированного зуба табачным дымом;
- потемнел под пломбой зуб после некачественного лечения внутри;
- установка металлических амальгам, имеющих темный цвет.
Практически любой процесс потемнения эмали можно остановить, предупредить или вылечить. Ведите здоровый образ жизни, кушайте больше полезных продуктов, следите за чистотой ротовой полости и обязательно посещайте стоматолога – и ослепительная улыбка вам гарантирована.
Поделитесь с друьями!