Для большинства людей прорезывание зубов мудрости не проходит без проблем. Этот процесс всегда длительный и часто осложняется болями, воспалениями полости рта, увеличением лимфатических узлов, повышением температура тела. В норме он начинается в 17–25 лет, когда организм практически сформирован.
Если неприятных симптомов много, пациенту следует обратиться к стоматологу, чтобы узнать причину, по которой зуб мудрости не может нормально вырасти. Одной из самых распространенных является горизонтальный рост, когда моляр растет в неправильном направлении, лежит в десне и давит на весь зубной ряд.
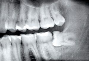
Зуб в зуб: почему «восьмерка» растет горизонтально?

Причины, по которым зуб растет в направлении соседних единиц или щеки, следующие:
- наиболее частая – наследственность;
- узкая челюсть – зубам мудрости не хватает места, так как они вырастают последними (см. также: );
- плотная костная ткань – «восьмерка» растет в ту сторону, где меньше сопротивление десны;
- атавизм в виде увеличенного количества зубов, которые занимают место, предназначенное для «восьмерок» (рекомендуем прочитать: );
- нарушение прикуса, которое влияет на количество свободного места в десне;
- патологии формирования зачатков зубных единиц;
- раннее выпадение молочных зубов, когда постоянные еще не растут.
Что делать при неправильном положении зуба мудрости?
Если зуб вырос неправильно, необходимо обратиться к стоматологу. В домашних условиях можно лишь немного облегчить боль и снять воспаление. Для этого применяют народные средства, например полоскания:
- Раствор соды. С его помощью убирают отеки и борются с микроорганизмами. Чайная ложка пищевой соды заливается кипятком и остужается.
- Отвар коры дуба и листьев шалфея. 10 столовых ложек того и другого заливаются половиной литра кипятка, теплым раствором полощут рот как можно чаще. Он снимает воспаление, стимулирует восстановление тканей, обладает антисептическими свойствами.
- Отвар из репы. Репу нужно нарезать, 3 столовые ложки варить 15 минут. Отвар остудить, полоскать рот каждый час.
Если боль совершенно невыносимая, можно прибегнуть к обезболивающим средствам. К препаратам, купирующим зубную боль, относят средства на основе ибупрофена, нимесулида, кеторолака.
Удаление и послеоперационная реабилитация
Как правило, дистопия лечится исключительно удалением. Однако если пациенту менее 17 лет и его челюсти еще до конца не сформированы, а дефекты твердых тканей не так ярко выражены, применяют ортодонтические способы лечения. Во всех других случаях удаление обязательно.
Пациент обязан дать согласие на вмешательство в виде удаления моляра. Также выясняется наличие заболеваний или аллергических реакций. Затем применяется анестезия: аппликационная (обезболивающая место укола), инфильтрационная (анестезирующая ткани до определенной глубины) или проводниковая (захватывает до половины челюсти) (рекомендуем прочитать: ).
Операция проходит в следующем порядке:
- После онемения челюсти стоматолог делает надрез слизистой с помощью скальпеля или лазера таким образом, чтобы можно было вырезать лоскут. Затем его откидывают. Желательно использование лазера, так как с его помощью оперативное вмешательство более тонкое и сопровождается меньшей кровопотерей и риском появления осложнений.
- В надкостнице просверливают отверстие с помощью бора.
- Восьмерку извлекают с помощью щипцов и элеватора. Если возникает необходимость, ее распиливают бором и удаляют по частям.
- Лунка обрабатывается антисептическими средствами. Стоматолог ждет, когда образуется сгусток крови.
- На рану накладываются швы. Если во время удаления появился гной, его удаляют с помощью дренажа, ранку тщательно обрабатывают антисептиками (рекомендуем прочитать: ).
- На последнем этапе стоматолог дает рекомендации по уходу за ротовой полостью, которым необходимо следовать неукоснительно.
Примерно через неделю пациенту необходимо снова прийти к врачу на осмотр. Он оценит, насколько хорошо идет заживление, имеются ли осложнения. Если есть необходимость, вновь обработает место удаления или назначит противовоспалительные препараты.
Правильный уход за полостью рта после удаления является обязательным условием выздоровления. В противном случае появится патогенная микрофлора, что не принесет ничего хорошего. Необходимо выполнять следующие рекомендации:
- Соблюдение гигиены ротовой полости. Во время чистки зубов следует аккуратно чистить единицы рядом с местом удаления.
- Чтобы сгусток крови не вымывался и процесс заживления не замедлялся, исключите полоскания. Через неделю после каждого приема пищи нужно полоскать рот отварами трав.
Спустя несколько дней можно делать солевые или содовые ванночки для рта. Можно добавлять несколько капель йода, который оказывает антибактериальное действие.
- Пищу следует измельчать до состояния пюре, чтобы излишне не травмировать место удаления. Жевать следует на противоположной стороне.
- После процедуры необходимо воздержаться от употребления алкоголя и курения хотя бы на день.
- Скорее всего, врач пропишет обезболивающие. Нужно соблюдать назначенную дозировку.
- На несколько дней придется отказаться от посещения бани, сауны, бассейна, а также свести к минимуму волнения и переживания.
В случае опухания десны, щеки, повышении температуры тела необходимо как можно быстрее обратиться к врачу. В противном случае придется проходить дополнительное лечение.
Что будет, если не удалять «лежачий» зуб?
При отсутствии квалифицированного стоматологического лечения горизонтально растущий зуб мудрости принесет множество осложнений: (рекомендуем прочитать: )
- Травмирование слизистой рта. Горизонтально растущая восьмерка может хронически травмировать слизистую, вследствие чего образуются раны, отеки, возникают боли. Соответственно, появляется высокий риск инфицирования, которое может серьезно ухудшить состояние пациента.
- Нарушение прикуса и разрушение зубов. В результате выраженной дистопии нарушается нормальное положение зубов. Это отражается на процессе жевания, вызывает головную и суставную боль. Давление на зубы перераспределяется неправильно, в результате они постепенно разрушаются.
- Сопровождающие болезни. Оказывая повышенное давление на соседний зуб, восьмерка провоцирует воспалительные процессы в периодонте, что приводит к периодонтиту – воспалению корней и околокорневых тканей. Постепенно формируется абсцесс, осложненный флегмоной. Иногда возникает невралгия тройничного нерва.
Поделитесь с друьями!
Спустя несколько дней можно делать солевые или содовые ванночки для рта. Можно добавлять несколько капель йода, который оказывает антибактериальное действие.