Прорезывание зубов мудрости происходит ближе к 25 годам жизни. Это длительный и болезненный процесс, поэтому многие ждут появления «восьмерок» с беспокойством. Сложности при прорезывании возникают из-за того, что у растущего зуба мудрости нет молочного предшественника, то есть отсутствует канал для роста.
Если «восьмерка» начинает расти неправильно, она может причинять сильный дискомфорт, натирать область щеки и языка или вызвать воспаление десны. В этом случае стоматологи рекомендуют удалять зуб мудрости — он не выполняет жевательных функций, поэтому его отсутствие в зубном ряду останется незаметным.
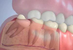
Причины неправильного роста зуба мудрости в сторону щеки

Причины патологии роста зубов делятся на 2 группы:
- индивидуальные особенности;
- строение зубочелюстного аппарата.
К первой группе относятся:
- генетическая предрасположенность;
- проблемы, связанные с обменом веществ;
- инфекции;
- нехватка минеральных веществ (кальция, фтора);
- сбой в гормональной системе на фоне стресса или беременности;
- аномальное внутриутробное развитие;
- нарушение питания в младенческом возрасте.
К аномалиям строения зубочелюстного аппарата, вызывающим неправильное прорезывание «восьмерок», относятся:
- недостаточность места для роста третьего моляра из-за избытка зубов в ряду;
- нестандартные форма и размер зуба мудрости;
- дефект зачатка, вызвавший его неверное положение;
- скученность зубного ряда;
- свободное пространство, появившееся в результате удаления нескольких зубов.
Строение десны также может повлиять на прорезывание. Например, если десна узкая, «восьмерка» может вырасти неправильно.
Признаки и симптомы

Другие признаки:
- повышение температуры тела до высоких отметок;
- недомогание, выраженное слабостью;
- появление головной боли, которая может локализоваться в разных частях головы;
- повышение кровоточивости десен, которая усиливается во время чистки зубов или жевании;
- сильное воспаление и покраснение десны, отек щеки;
- боль при употреблении пищи, открывании рта, пережевывании твердой еды;
- повреждения внутренней поверхности щеки, напротив места выхода зуба;
- беспокойный сон;
- нарушение речи, связанное с отечностью и травмированием языка;
- появления нагноения и эрозии.
Если вовремя не принять меры по исправлению роста зуба, проявляются следующие симптомы:
- флегмона;
- воспалительный процесс из-за образования капюшона, если коронка не прорезала десну;
- киста;
- скученность и кривизна зубного ряда;
- кариес;
- защемление нервов.
Аномалия выхода «восьмерок» может быть:
- Полной. Зуб расположен внутри десны горизонтально и не выходит наружу. Обнаружить это возможно только с помощью рентгена.
- Частичной. При этом третий моляр растет в сторону щеки и царапает ее или давит на соседний зуб. В этом случае пациент часто жалуется на то, что зуб натер слизистую. Это происходит вследствие неправильного закладывания зачатка.
Боль при прорезывании
Боль при прорезывании объясняется травмированием мягких тканей. Коронка зуба оказывает давление на десну, режет ее; начинается развитие отека.Из-за этого чувствуются болезненные ощущения разной степени. Их помогут снять следующие методы и средства:
- Полоскания ротовой полости содовым или солевым раствором, отваром коры дуба и листьев шалфея, настоем мелисы. Они снимают воспаление и боль, оказывают противомикробное действие.
- Лекарственные препараты. Для обезболивания подойдут «Нурофеен», «Найз», «Кеторол». Препарат «Эторикоксиб» способен облегчить боль на 24 часа. Для снятия воспаления можно помазать десну гелями «Холисал» или «Камистад».
- Антисептические процедуры.
Нагревать место воспаления категорически запрещается, так как это может ускорить развитие процесса нагноения. Растворы для полоскания должны быть теплыми. Все перечисленные меры являются временными методами избавления от боли. При сильном дискомфорте необходимо проконсультироваться с врачом, чтобы избежать развития серьезных осложнений.
Мешает, натирает щеку
Когда зуб мудрости растет в щеку и частично прорезался, он может натирать и травмировать язык и внутреннюю поверхность ротовой полости (рекомендуем прочитать: ). Дискомфорт связан с выходом зуба в бок, когда коронка упирается в щеку. Если наклон зуба незначительный, процедура его удаления не обязательна. Иногда достаточно сделать разрез десны, чтобы он нормально вырос. Решение должен принимать стоматолог после осмотра ротовой полости и проведенного рентгена. Если траектория роста зуба близка к горизонтальной, его следует удалять.
Экстракция «восьмерки» необходима, в следующих случаях:
- траектория роста направлена под сильным углом;
- происходит травмирование щеки, языка, соседних зубов;
- кариес на зубах при сильно сплетенной корневой системе;
- абсцесс, свищ и другие нагноения (рекомендуем прочитать: );
- развитие гайморита вследствие воспаления верхних моляров;
- киста.
Без удаления можно обойтись, если:
- у разрушенного зуба имеется здоровый корень, даже если он мешает и задевает щеку;
- рядом с «восьмеркой» нет других зубов, и он может со временем занять пустые места и исполнять роль жевательного зуба;
- строение зуба мудрости позволяет использовать методы лечения.
Как вести себя после операции?
Процесс удаления зуба называется экстракцией. Сложность процедуры зависит от степени искривления объекта, сплетения его корневой системы и от того, какой зуб необходимо удалять, сверху или снизу.Этапы удаления «восьмерок»:
- осмотр и проведение рентгенографии;
- выполнение анестезии (общая или местная) для обезболивания места проведения операции;
- разрезание десны, если отсутствует доступ к зубу;
- формирование доступа к корням с помощью бормашины, которой удаляется костная ткань;
- распиливание перегородки между корнями;
- собственно удаление (см. также: );
- промывание раны антисептическим препаратом;
- закладывание в лунку противовоспалительного средства;
- накладывание простого шва саморассасывающимися нитками на десну.
Процесс заживления раны зависит от индивидуальных особенностей человека, а также от ответственного отношения к уходу за лункой. На скорость восстановительного периода после операции влияет образование кровяного сгустка в ранке и его сохранность. Пытаясь снизить болевые ощущения, которые начинаются после окончания действия анестезирующих препаратов, использовавшихся при хирургическом вмешательстве, многие разрушают или отодвигают кровяной сгусток. Это приводит к увеличению времени заживления. Чаще всего при проведении операции не бывает больно, так как экстракция проводится под анестезией.
Чтобы процесс заживления прошел быстрее без развития осложнений, необходимо придерживаться следующих рекомендаций:
- отказаться от употребления еды и питья в первые 3 часа после операции;
- не полоскать рот солевым раствором в течение первых суток;
- характер следующих полосканий должен быть спокойным, чтобы сохранился кровяной сгусток;
- использовать антисептики;
- не прикасаться к лунке языком или руками;
- не употреблять твердую пищу;
- отказаться от соленого, сладкого, острого;
- принимать обезболивающие препараты, назначенные стоматологом;
- не использовать согревающие компрессы;
- при накладывании охлаждающей повязки проявить аккуратность, так как чрезмерный холод может вызвать обморожение нервных окончаний;
- чистить зубы щеткой с мягкой щетиной, не делать этого ранее, чем через 1-2 дня после экстракции;
- исключить физические нагрузки;
- не ходить в баню и не принимать горячую ванну;
- не употреблять алкоголь и отказаться от курения;
- следить за общим состоянием организма: при повышении температуры тела или увеличении отечности необходимо обратиться к врачу.
Возможные осложенния
Осложнения при прорезывании зубов мудрости возникают только в случае несвоевременного обращения к стоматологу. Чем раньше обнаружились первые симптомы аномального роста и была оказана необходимая помощь, тем меньше вероятность осложнений. Если же вовремя не принять необходимых мер, возможны следующие неприятные последствия:
- потеря «семерки» из-за разрушения его корневой системы;
- развитие кариеса на соседнем зубе или повреждение его эмали;
- развитие неправильного прикуса;
- появление эрозий и нагноений на внутренней поверхности щеки;
- периостит, флегмон, перикоронит;
- невралгия тройничного нерва (рекомендуем прочитать: );
- развитие воспалительного процесса в лимфатических узлах;
- появление злокачественных опухолей;
- ущемление нервов, которое приводит к онемению челюсти;
- изменение контуров лица из-за сильного воспаления.
Экстракция «восьмерки» поможет избежать развития этих осложнений. Стоит доверять проведение процедуры только профессиональному стоматологу, так как нарушение техники удаления может привести к следующим заболеваниям:
- Альвеолит. Так называется воспалительный процесс в ране, который начинается из-за несвоевременного образования кровяного сгустка или его отодвигания. В результате в открытую рану беспрепятственно проникают болезнетворные бактерии.
- Изменение чувствительности ротовой полости или отдельных ее частей (языка, щеки, десны), которое возникает вследствие неправильного выбора анестезирующего препарата или несоблюдения необходимой дозировки.
- Сильная кровоточивость из-за плохой свертываемости крови.
- Долгие, нестерпимые болезненные ощущения.
- Инфицирование лунки.
- Образование гноя.
Поделитесь с друьями!