Белоснежная улыбка делает лицо более привлекательным, ведь она свидетельствует о здоровье человека. Однако бывает, что на эмали появляется пятно, которое отличается от цвета зуба. Пятно может быть желтым, черным и даже белым и возникать в любом возрасте, в том числе у ребенка. Вне зависимости от цвета, это весомый повод, чтобы совершить внеплановый поход к специалисту — он сможет определить причину и назначить лечение.
Пятна на зубной эмали: плохой уход или заболевание?

Причины появления «цветных» отметин
Пятна на зубах появляются по ряду причин:
- Плохой уход. Халатное отношение к чистке зубов приводит к оседанию налета на эмали.
- Черный чай, кофе, красное вино. Пигменты, которые содержаться в напитках, оседают на эмали и закрепляются в ее неровностях. Со временем они накапливаются, и окрашивание становится более заметным.
- Температурные перепады. Из-за резкого расширения и сужения тканей зубов в них появляются трещинки и поры, что приводит к окрашиванию и даже разрушению эмали.
- Удаление зубного нерва. В этом случае меняет цвет не эмаль, а сердцевина зуба.
- Лекарства. Некоторые медикаментозные средства оказывают влияние на цвет зубного ряда. Так, если ребенку назначают препарат с повышенным содержанием железа, его зубы могут окраситься в желтый цвет. Также вызывает стойкое окрашивание эмали употребление в больших дозах препаратов тетрациклинового ряда.
Курение. Курильщик воздействует на зубы никотином, смолами и перепадом температур. В эмали появляются микротрещины, она становится рыхлой и впитывает посторонние вещества, в том числе пигментные, – так образуются пятна и точки (рекомендуем прочитать: ).
- Авитаминоз и гиповитаминоз. Иногда появление пятен на эмали сигнализирует человеку о дефиците каких-либо витаминов и минералов или, наоборот, об их избытке. Так, чрезмерное количество фтора вызывает появление белых пятен на зубах.
- Желтуха. Если во время болезни зубы начали желтеть, скорее всего, это один из симптомов желтухи (см. также: ). Он исчезнет после выздоровления.
- Дисфункции эндокринных желез.
- Кариес. Точки на зубах часто бывают ранними симптомами поражения.
Белые пятна
Основная причина появления на зубах белых пятен – патология внутренних органов. Кроме этого, они могут свидетельствовать о нарушенном обмене веществ. Однако не стоит беспокоиться, если белые пятна появились после принятия курса антибиотиков, возможно, что это один из побочных признаков. Наличие светлых пятен может говорить и о начале кариозного процесса, и о гипоплазии, и о флюорозе.
Серые и черные
Серые и черные пятна могут быть признаками как кариеса, так и налета Пристли. Вторая причина часто встречается у детей, но и у взрослых ее тоже можно обнаружить. Образуется налет Пристли из-за размножения во рту пигментообразующих бактерий. Поскольку у детей противомикробная активность слюны менее выражена, чем у взрослых, проблема встречается у них гораздо чаще. С возрастом активность слюны увеличивается, и черный налет исчезает.
Черные точки и пятна могут появиться и из-за болезней внутренних органов, и из-за воздействия никотина (рекомендуем прочитать: ). Серые отметины могут появиться из-за нарушения микрофлоры кишечника или изменения цвета дентина (следующего после эмали слоя зубной ткани).
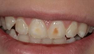
Пятна желтого цвета
Желтые пятна на зубах свидетельствуют прежде всего о плохой гигиене ротовой полости. Чтобы выяснить причину, рекомендуется посетить врача, и не только зубного. Иногда отметины такого цвета появляются при развитии патологий почек, сердца, а также приема антибиотиков и других лекарственных препаратов.
Удаление зубных желтых пятен возможно с помощью профессиональной чистки. Однако если причины не в налете, потребуется лечение основного заболевания.
«Полосатые» зубы
Возникновение полос на зубах может быть признаком серьезной болезни – гипоплазии эмали, дентина, цемента. Неважно, на скольких зубах появились полосы, так как о заболевании говорит даже один «полосатик».
Способы удаления пятен с зубов
Прежде чем приступать к поиску эффективного средства, которое поможет удалить пятна с зубов, нужно выявить причину. Важно знать, что самолечение может лишь навредить, поэтому требуется осмотр у стоматолога. Однако отказ от курения и чрезмерного употребления пищи с окрашивающими пигментами вполне можно сделать самостоятельно.
Медикаментозные
Медикаментозные методы наиболее эффективны в борьбе с нежелательной пигментацией. Стоматолог, осмотрев полость рта, установит причину и подберет способ решения проблемы. Например, если причина потемнения эмали – кариес или потемнение пломбы, то может использоваться внутриканальное отбеливание, что хорошо помогает и при черных зубах (см. также: ).
В запущенном случае устраняют причину, а цвет эмали маскируют при помощи виниров, позволяющих исправить и форму зуба. Значительный плюс медикаментозного отбеливания – покрытие лаком, защищающим эмаль от бактерий и повышающим ее прочность.
Народные
Народные способы удаления пятен с зубов широко используются по сей день. Однако стоит иметь в виду, что они имеют большое количество противопоказаний. Так, пятна на зубах у ребенка не рекомендуется отбеливать народными средствами. Женщины во время беременности и в период лактации также должны быть крайне осторожны. Если же пациент уверен, что отбеливание народными средствами не принесет ему вреда, следует обратить внимание на следующие действующие вещества и рецепты:
- Пищевая сода – быстрый и легкий способ осветления эмали. Сода относится к агрессивным веществам, поэтому не следует использовать ее чаще двух раз в неделю – это может привести к истончению эмали. Чистый влажный тампон из бинта нужно макнуть в соду и круговыми движениями очищать каждый зуб в течение 5–10 секунд, не затрагивая десну.
- Лимонный сок. Довольно агрессивное вещество для отбеливания из-за высокого содержания кислот. Для проведения процедуры лимонный сок наносится на ватную палочку, с помощью которой протирают зубы. Оставляют сок на зубах не более 120 секунд, затем полощут рот содовым раствором или теплой водой.
- Древесная зола. Сравнительно безопасный метод осветления зубной поверхности, существующий с древнейших времен. Допускается бережное натирание эмали три раза в неделю. Лучше использовать очищенную золу из аптеки.
- Активированный уголь – эффективное и безопасное средство, способствующее избавлению эмали от налета. Таблетку хорошо измельчают и чуть-чуть увлажняют. Наносят на зубы с помощью ватной палочки и натирают их. Не стоит выполнять процедуру чаще двух раз в неделю, так как крупные частицы могут повредить эмаль.
- Перекись водорода – химическое средство осветления зубов (рекомендуем прочитать: ). В данных целях применяют только 3-процентную концентрацию. Ватный тампон или ватная палочка смачивают перекисью, зубы протирают, затем тщательно ополаскивают полость рта.
- Яблочный уксус – очень эффективное средство, но требует большой осторожности в применении, так как способен истончить зубную эмаль. Для применения смешивается с обычной водой в пропорции 1:1. Такой смесью можно как протирать зубы, так и полоскать всю ротовую полость, но не чаще одного раза в семь дней.
Чистка профессиональная и домашняя
Если причиной появления зубного налета, пятен и камня не являются нарушения работы внутренних органов или стоматологические заболевания, их можно удалить с помощью профессиональной чистки. В кабинете стоматолога в зависимости от показаний, противопоказаний и финансовых возможностей могут предложить:
- Механическую чистку. Выполняется специальным инструментом с крючком на конце, не рекомендуется пациентам с чувствительной эмалью и деснами.
- Чистку лазером. Безболезненная процедура, во время которой хорошо удаляется зубной налет и пятна.
- Ультразвуковая чистка. Эффективный метод борьбы с желтым налетом, который разрушается под воздействием колебания волн определенной частоты.
- Чистка струей воздуха, воды и соды под большим давлением.
В домашних условиях можно избавиться от пятен и налета на зубах с помощью:
- комплектов из специальной лампы, геля и каппы (PearlSmile, White Light),
- отбеливающих гелей и паст (BleachBright, White Glo, White Kiss, Global White),
- полосок («Живая эмаль», Blend-a-Med 3D White Luxe, Crest 3D White Whitestrips LUXE, Aliexpress Advanced Teeth Whitening, Bright Light 3D White Professional Effects).
Если регулярно, дважды в неделю, чистить зубы отбеливающей зубной пастой, со временем также можно удалить некрасивую пигментацию.
Профилактика зубной «пятнистости»
Профилактика цветных точек и пятне на зубах начинается с тщательной гигиены ротовой полости и включает в себя систематические посещения стоматолога (2 раза в год).
При этом рекомендуется сократить употребление сладостей и пищи с красящими веществами, в особенности кофе и черного чая. Ради белоснежной улыбки также стоит оказаться от курения, есть регулярно яблоки и пить побольше чистой воды.
Начиная прием каких-либо лекарственных средств, поинтересуйтесь перечнем побочных эффектов – не скажутся ли они на зубах? Заботу о зубках ребенка стоит проявлять уже во время беременности, правильно и полноценно питаясь и отказавшись от вредных привычек, а лучше – еще до зачатия.
Поделитесь с друьями!
Курение. Курильщик воздействует на зубы никотином, смолами и перепадом температур. В эмали появляются микротрещины, она становится рыхлой и впитывает посторонние вещества, в том числе пигментные, – так образуются пятна и точки (рекомендуем прочитать: ).